
近日,郑州大学第一附属医院罗鸿教授团队针对一例77岁主动脉瓣重度关闭不全的男性患者,成功实施胸腔镜辅助下主动脉瓣生物瓣(Avalus)置换术。该患者术前检查提示其重度主动脉瓣关闭不全,二尖瓣关闭不全(轻度)三尖瓣关闭不全(轻度),患者高龄但日常生活基本自理,手术难度与风险显著升高。
综合患者年龄、解剖特点及全生命周期管理需求,团队认为Avalus生物瓣的长期耐久性优势、0金属设计便于长期健康监测及后续可兼容瓣中瓣治疗的特点,与患者病情高度适配,拟植入25# Avalus生物瓣;此次高难度微创瓣膜心脏手术的成功实施,不仅体现了团队在复杂主动脉瓣疾病诊疗中精准的术前评估能力与精湛的微创操作技术,也为同类解剖条件下高龄的重度主动脉瓣关闭不全患者提供了可借鉴的治疗范式。
病例资料
基本信息:男性,77岁,身高172cm,体重68kg。
主诉:头晕1年余,加重6天。
现病史:患者1年余前无明显诱因出现头晕,无胸痛、呼吸困难,未规范治疗。6天前于本院超声检查提示心脏瓣膜病、主动脉瓣重度关闭不全,需手术治疗。
既往史:高血压病史40年,最高收缩压150mmHg,药物控制可;肺结核病史40年(已治愈)。
心电图示:一度房室传导阻滞
心脏超声:
左室增大,余房室腔内径正常。
主动脉三窦三叶,瓣叶质地良好,开放正常,关闭时对合不拢。主动脉根部瘤样扩张,升主动脉增宽。二尖瓣、三尖瓣开放正常;关闭欠佳。CDFI:舒张期主动脉瓣探及大量反流信号,缩流颈6.8mm。收缩期二尖瓣探及少量反流信号,缩流颈2.5mm。收缩期三尖瓣探及少量反流信号,缩流颈2.0mm,PK:2.0m/s:PPG:17mmHg,估测肺动脉收缩压约22mmHg。
LVED:62mm;LVES:44mm;LA:33mm;AV:1.3m/s;EF:55%。
升主动脉43mm;瓣环24mm;窦部 47mm;窦管交界39mm;主动脉弓28mm;降主动脉24mm。
升主动脉增宽;
主动脉瓣重度关闭不全,二尖瓣轻度反流,三尖瓣轻度反流;
左室增大,左室及右室收缩功能正常(EF值55%)。
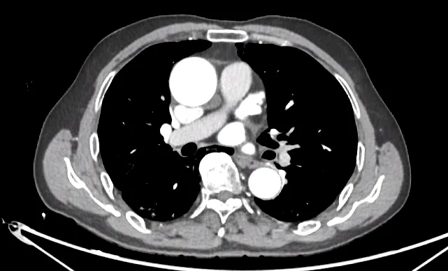
胸部CTA:主动脉根部局部稍扩张。


冠脉CTA:右冠动脉近段管壁软斑,管腔约轻度狭窄。左右冠状动脉起源及走行未见异常,整体呈右冠优势型。右冠状动脉(A)近段管壁则软斑影,管腔约轻度狭窄。左冠状动脉主干管壁未则明显异常,管腔未见狭窄。前降支(LAD)、第一对角支(D1)、第二对角支(D2)、左旋支(LCX)、第一钝缘支(OM1)、中间支(RI)、后降支(PDA)及后外侧支(PLB)未见确切斑块及狭窄征象。

术前诊断
主动脉瓣关闭不全(重度)
二尖瓣关闭不全(轻度)
心功能Ⅰ级(NYHA分级)
高血压病2级(极高危)
手术策略
面对患者高龄、主动脉瓣关闭不全,进展风险高、高血压病史长等复杂情况,郑州大学第一附属医院心脏外科罗鸿教授团队经多学科讨论后制定个体化方案:77岁男性患者,主动脉瓣三叶式重度关闭不全同时合并升主动脉瘤样扩张。主动脉瓣置换术的手术指征没有异议。科室讨论环节主要在升主动脉均匀增粗,升主动脉43mm,患者是否需要升主动脉置换。最终讨论意见认为:不同于二叶瓣畸形合并的升主动脉不均匀增粗,三叶主动脉瓣关闭不全合并的升主动脉往往均匀扩大,主动脉壁张力分布均匀,且患者升主动脉43mm,尚未达到升主动脉瘤的诊断标准。患者老年男性,身高172mm,体重68kg,77岁高龄,升主动脉的正常管径也较年轻人和低体重的患者为大。不能生硬套搬超过45mm需要置换升主动脉的指南标准,应该考虑血管形态,身高,体重,年龄的因素。所以只需要处理主动脉瓣关闭不全。手术团队综合多维度因素制定手术策略: 患者虽年龄相对高,但日常生活基本自理,体质较好,经评估后认为从患者全生命周期管理角度出发,结合Avalus生物瓣的长期耐久性,优异的血流动力学特性、零金属设计等方面的特点,团队初步决定应用Avalus瓣膜为患者实施胸腔镜辅助下主动脉瓣生物瓣置换术。
最终,手术团队明确手术方案为:行胸腔镜下主动脉瓣生物瓣置换术,术中根据主动脉根部实际情况及血管壁质量决定是否联合升主动脉置换/Bentall手术。
手术过程
麻醉与体位:全身麻醉,患者取仰卧位,右胸垫高30°,双腔气管插管单肺通气。右侧第2肋间作6cm切口为主操作孔,胸腔镜辅助下悬吊心包,暴露升主动脉及心脏。实际术中探查,升主动脉壁厚度约3mm,血管壁健康,弹性良好。未行升主动脉置换术。
手术经过:麻醉成功后病人取仰卧位,常规消毒铺巾,右侧前外侧第2肋间小切口6cm进入胸腔,保护套保护切口,打开心包并悬吊。肝素化后,右侧股动脉,股静脉插管常规建立CPB,阻断升主动脉后,直视下灌注心麻液,心脏停跳满意,剪除瓣膜。间断缝合最终植入25A#Avalus生物瓣膜一枚,换瓣线间断缝合,下瓣顺利,打结器打结,盐水冲洗,瓣膜闭合灵活,缝合严密,用5-0 Prolene连续缝合主动脉切口。左心房排气,主动脉部分松阻断,经心麻液针头排气,心脏自动复跳,渐停CPB顺利。

术后总结 疗效评价
术中经食道超声所见:术前全麻状态下:主动脉三窦三叶,瓣叶质地良好,开放正常,吴闭时对合不拢。主动脉根部瘤样扩张,升主动脉增宽,较宽处约42mm,主动脉瓣环径23mm。CDFI:舒张期主动脉瓣探及大量反流信号,缩流颈7.2mm。收缩期二、三尖瓣探及少量反流信号。
术毕即刻:主动脉瓣为人工生物瓣回声,瓣架位置固定,瓣叶启闭良好,主动脉瓣前向流速约1.5m/s,PG:10mmHg,未及明显反流及瓣周漏。收缩期二、三尖瓣探及少量反流信号。
术后食道超声显示生物瓣功能良好,无明显反流或瓣周漏。患者术后6小时拔管,第2天转普通病房,第7天出院。
技术优势:
罗鸿教授团队采用胸腔镜辅助微创技术,避免了胸骨劈开,减少手术创伤,患者恢复迅速。
团队在微创心脏手术方面经验丰富,已独立完成多种微创心脏手术。
随访建议:
术后需定期复查心脏超声,监测瓣膜功能及主动脉根部情况。
专家简介

罗鸿
郑州大学第一附属医院(点击查看专家详细简历)
延伸阅读
向上滑动阅览
主动脉瓣重度反流+巨大根部瘤|西安交通大学第一附属医院闫炀团队应用Avalus零金属生物瓣成功完成高难度微创Bentall术
多术式复合,攻克复杂“心”关丨中国医学科学院阜外医院徐飞教授团队应用Avalus零金属瓣膜完成重症心衰合并多瓣膜病高难度手术
· END ·

版权及免责声明:严道医声网旨在搭建学术传播及媒体发声平台,文内信息版权属于持有人,我们只提供传递信息之用。如有侵权,请联系我们删除。
获取更多资讯,点击 “阅读原文” 下载 “严道医声APP”