当前位置:首页>郑州>顶刊实锤!郑州大学登《Cell Stem Cell》:熬夜伤肠不是瞎猜,核心机制被扒透了!

顶刊实锤!郑州大学登《Cell Stem Cell》:熬夜伤肠不是瞎猜,核心机制被扒透了!

  • 2026-04-05 14:16:11
顶刊实锤!郑州大学登《Cell Stem Cell》:熬夜伤肠不是瞎猜,核心机制被扒透了!

点击蓝字

关注我们

01

引言

睡眠不足早已成为全球性的公共健康难题,不仅与全因死亡率增加相关,更会诱发炎症性肠病、糖尿病、高血压等多种慢性疾病。其中,肠道作为睡眠障碍的主要靶器官,其功能损伤与睡眠剥夺的关联的分子机制,长期以来始终未能被完全破解。

2026年2月,郑州大学于政权教授团队在国际顶级期刊《Cell Stem Cell》上发表了一项突破性研究,首次明确了睡眠剥夺损伤肠道的完整神经通路,清晰揭示了“熬夜如何一步步伤害肠道”的核心逻辑,为睡眠相关肠道疾病的防治提供了全新靶点。

02

研究核心摘要

睡眠紊乱与慢性胃肠疾病的发病密切相关,该研究通过小鼠模型证实:急性睡眠剥夺(SD)会直接损伤肠道干细胞(ISC)功能,破坏肠道上皮稳态;脑干迷走神经背核(DMV)是感知睡眠缺失的中枢核心,负责将睡眠信号传递至肠道,通过一条“DMV—迷走神经—乙酰胆碱”通路,最终诱发肠道病理改变。

一、急性睡眠剥夺,直接损伤肠道干细胞功能

研究团队采用机械式睡眠剥夺小鼠模型,发现SD会显著扰乱小鼠睡眠结构——快速眼动(REM)和非快速眼动(NREM)睡眠大幅减少,小鼠清醒时间占比达95%,同时出现探索行为减弱、休息需求增加等行为改变。

肠道层面,SD引发了明显的病理变化:肠道绒毛和隐窝长度缩短,上皮细胞增殖能力下降,近端及中段小肠的凋亡细胞数量显著增加;潘氏细胞数量减少,隐窝内嗜铬细胞(EC细胞)数量增多;Lgr5⁺和Olfm4⁺肠道干细胞(ISC)数量下降,且干细胞功能出现长期损伤,表现为组织更新减缓、肠类器官生成能力下降,甚至辐射后的再生能力也显著受损。

值得注意的是,即使在抗生素处理、肠道微生物群被大量耗尽的小鼠中,SD诱导的肠道病理依然存在,这表明该效应主要不依赖肠道菌群,且对近端和中段小肠的影响最为明显。

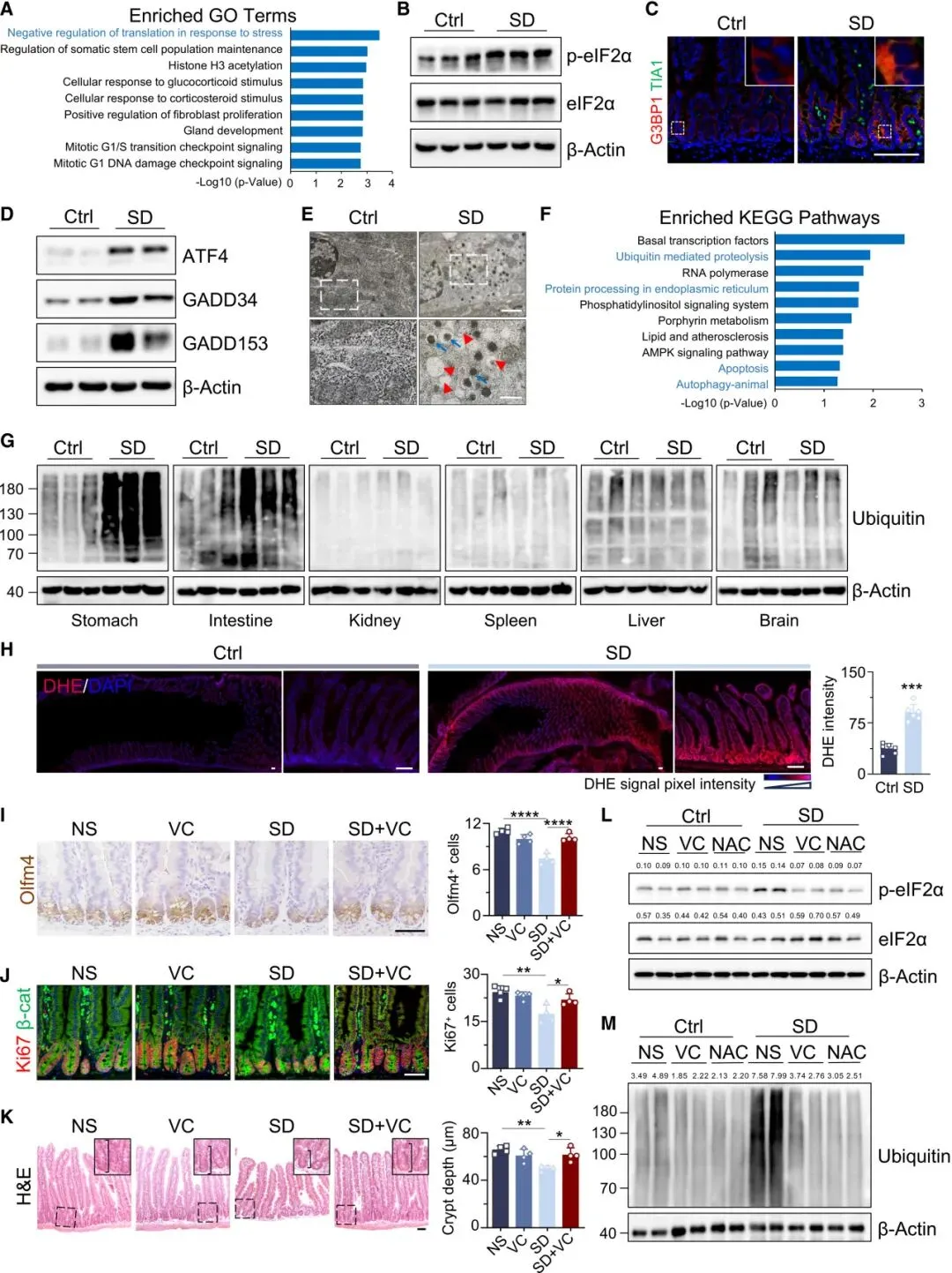
二、翻译应激反应,是ISC功能受损的关键机制

通过蛋白质组学分析,研究团队发现,急性SD会在肠隐窝细胞中诱导翻译应激反应(ISR),这是ISC功能受损的核心原因。具体表现为:p-eIF2α水平显著上调,促进应激颗粒形成;ISR效应因子ATF4、GADD34和GADD153被激活;同时诱导ISC自噬,自噬体和自溶酶体数量增加,自噬受体p62下降,LC3B II/I比值升高。

此外,SD会特异性在肠道和胃中触发K48依赖的蛋白降解,伴随活性氧(ROS)积累、DNA损伤和抗氧化能力下降。而使用维生素C、N-乙酰半胱氨酸(NAC)等抗氧化剂处理,可有效缓解ROS积累,降低p-eIF2α和泛素化水平,恢复ISC数量和增殖能力。

三、睡眠剥夺,扰乱肠道5-羟色胺(5-HT)稳态

靶向代谢组学和功能实验显示,SD会显著升高肠道及血清中的5-羟色胺(5-HT)水平,同时增加TrpA、5-HTP、Kyn等色氨酸代谢相关中间产物的含量。SD还会增加肠隐窝中EC细胞的数量,而EC细胞正是肠道中95%的5-HT的主要来源。

进一步研究证实,EC细胞产生的5-HT会直接引发ISC氧化应激,抑制其增殖并损害类器官生长;体内注射5-HT,可完全复制SD诱导的肠道病理表现。而Tph1基因敲除小鼠(缺乏EC细胞来源的5-HT),在SD条件下的肠道损伤和氧化应激会显著缓解。

同时,SD会通过抑制Slc6a4基因(编码血清素再摄取转运蛋白SERT)的表达及启动子甲基化,降低5-HT的再摄取能力,从而维持肠道局部5-HT的高浓度——这意味着,SD诱导的5-HT激增,既是EC细胞分泌增加的结果,也是再摄取减少的结果,是介导SD相关肠道病理的关键。

四、HTR4受体,介导5-HT对ISC的损伤效应

单细胞RNA测序结果显示,肠道干细胞(ISC)中主要表达5-HT受体HTR4,且急性SD后,HTR4在肠隐窝中的转录本和蛋白质水平会显著上调。

体外实验证实:HTR4激动剂prucalopride可模拟5-HT的作用,抑制类器官生长、增加ROS和泛素化蛋白水平;而HTR4拮抗剂SB-203186则可逆转这些损伤效应。体内实验结果一致:HTR4激动剂会诱发SD样肠道病理,而HTR4拮抗剂GR113808则能缓解SD引起的ISC减少、增殖下降、潘氏细胞丢失及氧化应激升高。

此外,肠道上皮特异性Htr4条件性敲除小鼠(Htr4 cKO),在SD条件下会表现出明显的保护作用,其衍生的类器官对5-HT刺激后的ROS水平显著降低——这进一步证实,ISC对过量5-HT的病理反应,是通过上皮细胞上的HTR4受体介导的。

五、乙酰胆碱(Ach),连接脑肠信号的关键介质

研究发现,SD小鼠的肠道乙酰胆碱(Ach)水平显著升高;腹腔注射Ach或其稳定类似物carbachol,可完全复制SD样肠道表型,包括隐窝-绒毛缩短、ISC和增殖细胞及潘氏细胞减少、氧化应激增加,以及HTR4和5-HT水平升高。

机制层面,这一效应主要通过肠道上皮的毒蕈碱受体Chrm3介导:Chrm3条件性敲除小鼠在SD条件下,肠道5-HT水平不会升高,肠道病理也得到明显保护。体外实验进一步证实,Ach会直接促进EC细胞释放5-HT,并抑制5-HT再摄取载体SERT的功能,从而维持肠道5-HT的高浓度,最终引发肠道病理。

六、DMV-迷走神经通路,是脑肠信号传递的核心

睡眠信号的调控源于中枢神经系统,研究团队通过c-Fos免疫荧光染色和伪狂犬病毒(PRV-724)逆行追踪发现:SD会激活多个中枢神经核团,但只有迷走神经背核(DMV),能通过迷走神经(VN)将睡眠缺失信号传递至肠道。

SD会导致DMV神经元的钙信号频率和幅度显著升高,且这种异常激活会持续长达7天;化学激活DMV神经元,会导致肠道Ach和5-HT水平显著升高,模拟SD效应;而化学抑制DMV神经元,则能有效逆转SD诱导的肠道Ach、5-HT激增及ISC减少。

此外,双侧迷走神经切开术(VGX)可显著减轻SD诱导的肠道损伤,使5-HT水平恢复正常,进一步证实迷走神经是DMV向肠道传递信号的关键载体。

03

研究核心结论

急性睡眠剥夺(SD)会激活脑干迷走神经背核(DMV),通过迷走神经向肠道上皮释放过量乙酰胆碱(Ach);Ach一方面促进肠嗜铬细胞(EC细胞)释放5-HT,另一方面抑制SERT介导的5-HT再摄取,导致肠道局部5-HT水平升高;过量5-HT通过HTR4受体作用于肠道干细胞(ISC),引发氧化应激,损伤ISC的自我更新和谱系分化能力,最终破坏肠道上皮稳态,诱发肠道病理改变。

同时,研究还明确了潜在的干预策略:使用阿托品(阻断毒蕈碱受体)、GR113808(抑制HTR4)或维生素C(抗氧化),可有效减轻SD引发的肠道损伤。

(原文参考:DOI: 10.1016/j.stem.2026.01.002)

<<<  END >>>

更多服务咨询请致电:

15001394959

导科医药竭诚为您服务

最新文章

随机文章

基本 文件 流程 错误 SQL 调试
  1. 请求信息 : 2026-04-09 15:26:52 HTTP/2.0 GET : https://i.460.net.cn/a/498024.html
  2. 运行时间 : 0.140695s [ 吞吐率:7.11req/s ] 内存消耗:4,556.08kb 文件加载:140
  3. 缓存信息 : 0 reads,0 writes
  4. 会话信息 : SESSION_ID=7bbcc179ed01f1eff5906f29a0788748
  1. /yingpanguazai/ssd/ssd1/www/i.460.net.cn/public/index.php ( 0.79 KB )
  2. /yingpanguazai/ssd/ssd1/www/i.460.net.cn/vendor/autoload.php ( 0.17 KB )
  3. /yingpanguazai/ssd/ssd1/www/i.460.net.cn/vendor/composer/autoload_real.php ( 2.49 KB )
  4. /yingpanguazai/ssd/ssd1/www/i.460.net.cn/vendor/composer/platform_check.php ( 0.90 KB )
  5. /yingpanguazai/ssd/ssd1/www/i.460.net.cn/vendor/composer/ClassLoader.php ( 14.03 KB )
  6. /yingpanguazai/ssd/ssd1/www/i.460.net.cn/vendor/composer/autoload_static.php ( 4.90 KB )
  7. /yingpanguazai/ssd/ssd1/www/i.460.net.cn/vendor/topthink/think-helper/src/helper.php ( 8.34 KB )
  8. /yingpanguazai/ssd/ssd1/www/i.460.net.cn/vendor/topthink/think-validate/src/helper.php ( 2.19 KB )
  9. /yingpanguazai/ssd/ssd1/www/i.460.net.cn/vendor/topthink/think-orm/src/helper.php ( 1.47 KB )
  10. /yingpanguazai/ssd/ssd1/www/i.460.net.cn/vendor/topthink/think-orm/stubs/load_stubs.php ( 0.16 KB )
  11. /yingpanguazai/ssd/ssd1/www/i.460.net.cn/vendor/topthink/framework/src/think/Exception.php ( 1.69 KB )
  12. /yingpanguazai/ssd/ssd1/www/i.460.net.cn/vendor/topthink/think-container/src/Facade.php ( 2.71 KB )
  13. /yingpanguazai/ssd/ssd1/www/i.460.net.cn/vendor/symfony/deprecation-contracts/function.php ( 0.99 KB )
  14. /yingpanguazai/ssd/ssd1/www/i.460.net.cn/vendor/symfony/polyfill-mbstring/bootstrap.php ( 8.26 KB )
  15. /yingpanguazai/ssd/ssd1/www/i.460.net.cn/vendor/symfony/polyfill-mbstring/bootstrap80.php ( 9.78 KB )
  16. /yingpanguazai/ssd/ssd1/www/i.460.net.cn/vendor/symfony/var-dumper/Resources/functions/dump.php ( 1.49 KB )
  17. /yingpanguazai/ssd/ssd1/www/i.460.net.cn/vendor/topthink/think-dumper/src/helper.php ( 0.18 KB )
  18. /yingpanguazai/ssd/ssd1/www/i.460.net.cn/vendor/symfony/var-dumper/VarDumper.php ( 4.30 KB )
  19. /yingpanguazai/ssd/ssd1/www/i.460.net.cn/vendor/topthink/framework/src/think/App.php ( 15.30 KB )
  20. /yingpanguazai/ssd/ssd1/www/i.460.net.cn/vendor/topthink/think-container/src/Container.php ( 15.76 KB )
  21. /yingpanguazai/ssd/ssd1/www/i.460.net.cn/vendor/psr/container/src/ContainerInterface.php ( 1.02 KB )
  22. /yingpanguazai/ssd/ssd1/www/i.460.net.cn/app/provider.php ( 0.19 KB )
  23. /yingpanguazai/ssd/ssd1/www/i.460.net.cn/vendor/topthink/framework/src/think/Http.php ( 6.04 KB )
  24. /yingpanguazai/ssd/ssd1/www/i.460.net.cn/vendor/topthink/think-helper/src/helper/Str.php ( 7.29 KB )
  25. /yingpanguazai/ssd/ssd1/www/i.460.net.cn/vendor/topthink/framework/src/think/Env.php ( 4.68 KB )
  26. /yingpanguazai/ssd/ssd1/www/i.460.net.cn/app/common.php ( 0.03 KB )
  27. /yingpanguazai/ssd/ssd1/www/i.460.net.cn/vendor/topthink/framework/src/helper.php ( 18.78 KB )
  28. /yingpanguazai/ssd/ssd1/www/i.460.net.cn/vendor/topthink/framework/src/think/Config.php ( 5.54 KB )
  29. /yingpanguazai/ssd/ssd1/www/i.460.net.cn/config/app.php ( 0.95 KB )
  30. /yingpanguazai/ssd/ssd1/www/i.460.net.cn/config/cache.php ( 0.78 KB )
  31. /yingpanguazai/ssd/ssd1/www/i.460.net.cn/config/console.php ( 0.23 KB )
  32. /yingpanguazai/ssd/ssd1/www/i.460.net.cn/config/cookie.php ( 0.56 KB )
  33. /yingpanguazai/ssd/ssd1/www/i.460.net.cn/config/database.php ( 2.47 KB )
  34. /yingpanguazai/ssd/ssd1/www/i.460.net.cn/vendor/topthink/framework/src/think/facade/Env.php ( 1.67 KB )
  35. /yingpanguazai/ssd/ssd1/www/i.460.net.cn/config/filesystem.php ( 0.61 KB )
  36. /yingpanguazai/ssd/ssd1/www/i.460.net.cn/config/lang.php ( 0.91 KB )
  37. /yingpanguazai/ssd/ssd1/www/i.460.net.cn/config/log.php ( 1.35 KB )
  38. /yingpanguazai/ssd/ssd1/www/i.460.net.cn/config/middleware.php ( 0.19 KB )
  39. /yingpanguazai/ssd/ssd1/www/i.460.net.cn/config/route.php ( 1.89 KB )
  40. /yingpanguazai/ssd/ssd1/www/i.460.net.cn/config/session.php ( 0.57 KB )
  41. /yingpanguazai/ssd/ssd1/www/i.460.net.cn/config/trace.php ( 0.34 KB )
  42. /yingpanguazai/ssd/ssd1/www/i.460.net.cn/config/view.php ( 0.82 KB )
  43. /yingpanguazai/ssd/ssd1/www/i.460.net.cn/app/event.php ( 0.25 KB )
  44. /yingpanguazai/ssd/ssd1/www/i.460.net.cn/vendor/topthink/framework/src/think/Event.php ( 7.67 KB )
  45. /yingpanguazai/ssd/ssd1/www/i.460.net.cn/app/service.php ( 0.13 KB )
  46. /yingpanguazai/ssd/ssd1/www/i.460.net.cn/app/AppService.php ( 0.26 KB )
  47. /yingpanguazai/ssd/ssd1/www/i.460.net.cn/vendor/topthink/framework/src/think/Service.php ( 1.64 KB )
  48. /yingpanguazai/ssd/ssd1/www/i.460.net.cn/vendor/topthink/framework/src/think/Lang.php ( 7.35 KB )
  49. /yingpanguazai/ssd/ssd1/www/i.460.net.cn/vendor/topthink/framework/src/lang/zh-cn.php ( 13.70 KB )
  50. /yingpanguazai/ssd/ssd1/www/i.460.net.cn/vendor/topthink/framework/src/think/initializer/Error.php ( 3.31 KB )
  51. /yingpanguazai/ssd/ssd1/www/i.460.net.cn/vendor/topthink/framework/src/think/initializer/RegisterService.php ( 1.33 KB )
  52. /yingpanguazai/ssd/ssd1/www/i.460.net.cn/vendor/services.php ( 0.14 KB )
  53. /yingpanguazai/ssd/ssd1/www/i.460.net.cn/vendor/topthink/framework/src/think/service/PaginatorService.php ( 1.52 KB )
  54. /yingpanguazai/ssd/ssd1/www/i.460.net.cn/vendor/topthink/framework/src/think/service/ValidateService.php ( 0.99 KB )
  55. /yingpanguazai/ssd/ssd1/www/i.460.net.cn/vendor/topthink/framework/src/think/service/ModelService.php ( 2.04 KB )
  56. /yingpanguazai/ssd/ssd1/www/i.460.net.cn/vendor/topthink/think-trace/src/Service.php ( 0.77 KB )
  57. /yingpanguazai/ssd/ssd1/www/i.460.net.cn/vendor/topthink/framework/src/think/Middleware.php ( 6.72 KB )
  58. /yingpanguazai/ssd/ssd1/www/i.460.net.cn/vendor/topthink/framework/src/think/initializer/BootService.php ( 0.77 KB )
  59. /yingpanguazai/ssd/ssd1/www/i.460.net.cn/vendor/topthink/think-orm/src/Paginator.php ( 11.86 KB )
  60. /yingpanguazai/ssd/ssd1/www/i.460.net.cn/vendor/topthink/think-validate/src/Validate.php ( 63.20 KB )
  61. /yingpanguazai/ssd/ssd1/www/i.460.net.cn/vendor/topthink/think-orm/src/Model.php ( 23.55 KB )
  62. /yingpanguazai/ssd/ssd1/www/i.460.net.cn/vendor/topthink/think-orm/src/model/concern/Attribute.php ( 21.05 KB )
  63. /yingpanguazai/ssd/ssd1/www/i.460.net.cn/vendor/topthink/think-orm/src/model/concern/AutoWriteData.php ( 4.21 KB )
  64. /yingpanguazai/ssd/ssd1/www/i.460.net.cn/vendor/topthink/think-orm/src/model/concern/Conversion.php ( 6.44 KB )
  65. /yingpanguazai/ssd/ssd1/www/i.460.net.cn/vendor/topthink/think-orm/src/model/concern/DbConnect.php ( 5.16 KB )
  66. /yingpanguazai/ssd/ssd1/www/i.460.net.cn/vendor/topthink/think-orm/src/model/concern/ModelEvent.php ( 2.33 KB )
  67. /yingpanguazai/ssd/ssd1/www/i.460.net.cn/vendor/topthink/think-orm/src/model/concern/RelationShip.php ( 28.29 KB )
  68. /yingpanguazai/ssd/ssd1/www/i.460.net.cn/vendor/topthink/think-helper/src/contract/Arrayable.php ( 0.09 KB )
  69. /yingpanguazai/ssd/ssd1/www/i.460.net.cn/vendor/topthink/think-helper/src/contract/Jsonable.php ( 0.13 KB )
  70. /yingpanguazai/ssd/ssd1/www/i.460.net.cn/vendor/topthink/think-orm/src/model/contract/Modelable.php ( 0.09 KB )
  71. /yingpanguazai/ssd/ssd1/www/i.460.net.cn/vendor/topthink/framework/src/think/Db.php ( 2.88 KB )
  72. /yingpanguazai/ssd/ssd1/www/i.460.net.cn/vendor/topthink/think-orm/src/DbManager.php ( 8.52 KB )
  73. /yingpanguazai/ssd/ssd1/www/i.460.net.cn/vendor/topthink/framework/src/think/Log.php ( 6.28 KB )
  74. /yingpanguazai/ssd/ssd1/www/i.460.net.cn/vendor/topthink/framework/src/think/Manager.php ( 3.92 KB )
  75. /yingpanguazai/ssd/ssd1/www/i.460.net.cn/vendor/psr/log/src/LoggerTrait.php ( 2.69 KB )
  76. /yingpanguazai/ssd/ssd1/www/i.460.net.cn/vendor/psr/log/src/LoggerInterface.php ( 2.71 KB )
  77. /yingpanguazai/ssd/ssd1/www/i.460.net.cn/vendor/topthink/framework/src/think/Cache.php ( 4.92 KB )
  78. /yingpanguazai/ssd/ssd1/www/i.460.net.cn/vendor/psr/simple-cache/src/CacheInterface.php ( 4.71 KB )
  79. /yingpanguazai/ssd/ssd1/www/i.460.net.cn/vendor/topthink/think-helper/src/helper/Arr.php ( 16.63 KB )
  80. /yingpanguazai/ssd/ssd1/www/i.460.net.cn/vendor/topthink/framework/src/think/cache/driver/File.php ( 7.84 KB )
  81. /yingpanguazai/ssd/ssd1/www/i.460.net.cn/vendor/topthink/framework/src/think/cache/Driver.php ( 9.03 KB )
  82. /yingpanguazai/ssd/ssd1/www/i.460.net.cn/vendor/topthink/framework/src/think/contract/CacheHandlerInterface.php ( 1.99 KB )
  83. /yingpanguazai/ssd/ssd1/www/i.460.net.cn/app/Request.php ( 0.09 KB )
  84. /yingpanguazai/ssd/ssd1/www/i.460.net.cn/vendor/topthink/framework/src/think/Request.php ( 55.78 KB )
  85. /yingpanguazai/ssd/ssd1/www/i.460.net.cn/app/middleware.php ( 0.25 KB )
  86. /yingpanguazai/ssd/ssd1/www/i.460.net.cn/vendor/topthink/framework/src/think/Pipeline.php ( 2.61 KB )
  87. /yingpanguazai/ssd/ssd1/www/i.460.net.cn/vendor/topthink/think-trace/src/TraceDebug.php ( 3.40 KB )
  88. /yingpanguazai/ssd/ssd1/www/i.460.net.cn/vendor/topthink/framework/src/think/middleware/SessionInit.php ( 1.94 KB )
  89. /yingpanguazai/ssd/ssd1/www/i.460.net.cn/vendor/topthink/framework/src/think/Session.php ( 1.80 KB )
  90. /yingpanguazai/ssd/ssd1/www/i.460.net.cn/vendor/topthink/framework/src/think/session/driver/File.php ( 6.27 KB )
  91. /yingpanguazai/ssd/ssd1/www/i.460.net.cn/vendor/topthink/framework/src/think/contract/SessionHandlerInterface.php ( 0.87 KB )
  92. /yingpanguazai/ssd/ssd1/www/i.460.net.cn/vendor/topthink/framework/src/think/session/Store.php ( 7.12 KB )
  93. /yingpanguazai/ssd/ssd1/www/i.460.net.cn/vendor/topthink/framework/src/think/Route.php ( 23.73 KB )
  94. /yingpanguazai/ssd/ssd1/www/i.460.net.cn/vendor/topthink/framework/src/think/route/RuleName.php ( 5.75 KB )
  95. /yingpanguazai/ssd/ssd1/www/i.460.net.cn/vendor/topthink/framework/src/think/route/Domain.php ( 2.53 KB )
  96. /yingpanguazai/ssd/ssd1/www/i.460.net.cn/vendor/topthink/framework/src/think/route/RuleGroup.php ( 22.43 KB )
  97. /yingpanguazai/ssd/ssd1/www/i.460.net.cn/vendor/topthink/framework/src/think/route/Rule.php ( 26.95 KB )
  98. /yingpanguazai/ssd/ssd1/www/i.460.net.cn/vendor/topthink/framework/src/think/route/RuleItem.php ( 9.78 KB )
  99. /yingpanguazai/ssd/ssd1/www/i.460.net.cn/route/app.php ( 1.72 KB )
  100. /yingpanguazai/ssd/ssd1/www/i.460.net.cn/vendor/topthink/framework/src/think/facade/Route.php ( 4.70 KB )
  101. /yingpanguazai/ssd/ssd1/www/i.460.net.cn/vendor/topthink/framework/src/think/route/dispatch/Controller.php ( 4.74 KB )
  102. /yingpanguazai/ssd/ssd1/www/i.460.net.cn/vendor/topthink/framework/src/think/route/Dispatch.php ( 10.44 KB )
  103. /yingpanguazai/ssd/ssd1/www/i.460.net.cn/app/controller/Index.php ( 4.81 KB )
  104. /yingpanguazai/ssd/ssd1/www/i.460.net.cn/app/BaseController.php ( 2.05 KB )
  105. /yingpanguazai/ssd/ssd1/www/i.460.net.cn/vendor/topthink/think-orm/src/facade/Db.php ( 0.93 KB )
  106. /yingpanguazai/ssd/ssd1/www/i.460.net.cn/vendor/topthink/think-orm/src/db/connector/Mysql.php ( 5.44 KB )
  107. /yingpanguazai/ssd/ssd1/www/i.460.net.cn/vendor/topthink/think-orm/src/db/PDOConnection.php ( 52.47 KB )
  108. /yingpanguazai/ssd/ssd1/www/i.460.net.cn/vendor/topthink/think-orm/src/db/Connection.php ( 8.39 KB )
  109. /yingpanguazai/ssd/ssd1/www/i.460.net.cn/vendor/topthink/think-orm/src/db/ConnectionInterface.php ( 4.57 KB )
  110. /yingpanguazai/ssd/ssd1/www/i.460.net.cn/vendor/topthink/think-orm/src/db/builder/Mysql.php ( 16.58 KB )
  111. /yingpanguazai/ssd/ssd1/www/i.460.net.cn/vendor/topthink/think-orm/src/db/Builder.php ( 24.06 KB )
  112. /yingpanguazai/ssd/ssd1/www/i.460.net.cn/vendor/topthink/think-orm/src/db/BaseBuilder.php ( 27.50 KB )
  113. /yingpanguazai/ssd/ssd1/www/i.460.net.cn/vendor/topthink/think-orm/src/db/Query.php ( 15.71 KB )
  114. /yingpanguazai/ssd/ssd1/www/i.460.net.cn/vendor/topthink/think-orm/src/db/BaseQuery.php ( 45.13 KB )
  115. /yingpanguazai/ssd/ssd1/www/i.460.net.cn/vendor/topthink/think-orm/src/db/concern/TimeFieldQuery.php ( 7.43 KB )
  116. /yingpanguazai/ssd/ssd1/www/i.460.net.cn/vendor/topthink/think-orm/src/db/concern/AggregateQuery.php ( 3.26 KB )
  117. /yingpanguazai/ssd/ssd1/www/i.460.net.cn/vendor/topthink/think-orm/src/db/concern/ModelRelationQuery.php ( 20.07 KB )
  118. /yingpanguazai/ssd/ssd1/www/i.460.net.cn/vendor/topthink/think-orm/src/db/concern/ParamsBind.php ( 3.66 KB )
  119. /yingpanguazai/ssd/ssd1/www/i.460.net.cn/vendor/topthink/think-orm/src/db/concern/ResultOperation.php ( 7.01 KB )
  120. /yingpanguazai/ssd/ssd1/www/i.460.net.cn/vendor/topthink/think-orm/src/db/concern/WhereQuery.php ( 19.37 KB )
  121. /yingpanguazai/ssd/ssd1/www/i.460.net.cn/vendor/topthink/think-orm/src/db/concern/JoinAndViewQuery.php ( 7.11 KB )
  122. /yingpanguazai/ssd/ssd1/www/i.460.net.cn/vendor/topthink/think-orm/src/db/concern/TableFieldInfo.php ( 2.63 KB )
  123. /yingpanguazai/ssd/ssd1/www/i.460.net.cn/vendor/topthink/think-orm/src/db/concern/Transaction.php ( 2.77 KB )
  124. /yingpanguazai/ssd/ssd1/www/i.460.net.cn/vendor/topthink/framework/src/think/log/driver/File.php ( 5.96 KB )
  125. /yingpanguazai/ssd/ssd1/www/i.460.net.cn/vendor/topthink/framework/src/think/contract/LogHandlerInterface.php ( 0.86 KB )
  126. /yingpanguazai/ssd/ssd1/www/i.460.net.cn/vendor/topthink/framework/src/think/log/Channel.php ( 3.89 KB )
  127. /yingpanguazai/ssd/ssd1/www/i.460.net.cn/vendor/topthink/framework/src/think/event/LogRecord.php ( 1.02 KB )
  128. /yingpanguazai/ssd/ssd1/www/i.460.net.cn/vendor/topthink/think-helper/src/Collection.php ( 16.47 KB )
  129. /yingpanguazai/ssd/ssd1/www/i.460.net.cn/vendor/topthink/framework/src/think/facade/View.php ( 1.70 KB )
  130. /yingpanguazai/ssd/ssd1/www/i.460.net.cn/vendor/topthink/framework/src/think/View.php ( 4.39 KB )
  131. /yingpanguazai/ssd/ssd1/www/i.460.net.cn/vendor/topthink/framework/src/think/Response.php ( 8.81 KB )
  132. /yingpanguazai/ssd/ssd1/www/i.460.net.cn/vendor/topthink/framework/src/think/response/View.php ( 3.29 KB )
  133. /yingpanguazai/ssd/ssd1/www/i.460.net.cn/vendor/topthink/framework/src/think/Cookie.php ( 6.06 KB )
  134. /yingpanguazai/ssd/ssd1/www/i.460.net.cn/vendor/topthink/think-view/src/Think.php ( 8.38 KB )
  135. /yingpanguazai/ssd/ssd1/www/i.460.net.cn/vendor/topthink/framework/src/think/contract/TemplateHandlerInterface.php ( 1.60 KB )
  136. /yingpanguazai/ssd/ssd1/www/i.460.net.cn/vendor/topthink/think-template/src/Template.php ( 46.61 KB )
  137. /yingpanguazai/ssd/ssd1/www/i.460.net.cn/vendor/topthink/think-template/src/template/driver/File.php ( 2.41 KB )
  138. /yingpanguazai/ssd/ssd1/www/i.460.net.cn/vendor/topthink/think-template/src/template/contract/DriverInterface.php ( 0.86 KB )
  139. /yingpanguazai/ssd/ssd1/www/i.460.net.cn/runtime/temp/ea612fc1da910b74827694dd9af81119.php ( 11.98 KB )
  140. /yingpanguazai/ssd/ssd1/www/i.460.net.cn/vendor/topthink/think-trace/src/Html.php ( 4.42 KB )
  1. CONNECT:[ UseTime:0.000579s ] mysql:host=127.0.0.1;port=3306;dbname=i460;charset=utf8mb4
  2. SHOW FULL COLUMNS FROM `fenlei` [ RunTime:0.000590s ]
  3. SELECT * FROM `fenlei` WHERE `fid` = 0 [ RunTime:0.001157s ]
  4. SELECT * FROM `fenlei` WHERE `fid` = 63 [ RunTime:0.000263s ]
  5. SHOW FULL COLUMNS FROM `set` [ RunTime:0.000618s ]
  6. SELECT * FROM `set` [ RunTime:0.000251s ]
  7. SHOW FULL COLUMNS FROM `article` [ RunTime:0.000667s ]
  8. SELECT * FROM `article` WHERE `id` = 498024 LIMIT 1 [ RunTime:0.004797s ]
  9. UPDATE `article` SET `lasttime` = 1775719612 WHERE `id` = 498024 [ RunTime:0.001364s ]
  10. SELECT * FROM `fenlei` WHERE `id` = 64 LIMIT 1 [ RunTime:0.000340s ]
  11. SELECT * FROM `article` WHERE `id` < 498024 ORDER BY `id` DESC LIMIT 1 [ RunTime:0.000508s ]
  12. SELECT * FROM `article` WHERE `id` > 498024 ORDER BY `id` ASC LIMIT 1 [ RunTime:0.001597s ]
  13. SELECT * FROM `article` WHERE `id` < 498024 ORDER BY `id` DESC LIMIT 10 [ RunTime:0.002078s ]
  14. SELECT * FROM `article` WHERE `id` < 498024 ORDER BY `id` DESC LIMIT 10,10 [ RunTime:0.005454s ]
  15. SELECT * FROM `article` WHERE `id` < 498024 ORDER BY `id` DESC LIMIT 20,10 [ RunTime:0.005939s ]
0.142373s