独家整理,盗用必究
肺转移是导致癌症患者死亡的最主要原因之一,全球流行病学数据显示,超过30%的实体肿瘤患者死于肺部转移。传统治疗手段面临诸多困境:外科手术和放射治疗难以有效定位直径小于2毫米的微小转移灶,系统化疗则因对健康组织的非选择性毒性导致治疗窗口狭窄,而免疫疗法虽然前景广阔,却常因无法控制的细胞因子释放引发致命的细胞因子释放综合征(CRS)。郑州大学赵悦团队联合中国科学院国家纳米科学中心聂广军研究员、郑州大学第一附属医院陈亚周教授在Science Advances期刊发表最新研究成果,开发出一种红光/远红光调控的单细胞包裹工程化免疫治疗系统,实现了对肿瘤免疫微环境的精准可逆调控,为攻克转移性癌症提供了全新策略。
光遗传学如何实现细胞因子的精确"开关"?
研究团队构建的核心技术是基于植物光敏色素PhyA的光遗传调控系统。这套系统的巧妙之处在于利用了光敏色素在不同波长光照下的可逆构象变化。具体而言,研究人员对PhyA进行截短处理,获得ΔPhyA光感受器片段,并使其与植物色素生物合成的辅色团PCB(phycocyanobilin)共价结合,赋予其光感知能力。

论文Figure 2A展示了光遗传调控系统的工作原理。在该系统中,ΔPhyA与酵母转录调控蛋白Gal4的DNA结合域融合,形成ΔPhyA-Gal4混合DNA结合蛋白;同时,将植物穿梭蛋白FHY1与转录激活域VP64融合,构建出FHY1-VP64光依赖性转录激活因子。
当细胞接受660 nm红光照射时,ΔPhyA-Gal4与FHY1-VP64通过ΔPhyA-FHY1结构域相互作用发生特异性异源二聚化。这一光诱导复合物随后募集Gal4 DNA结合域,特异性识别并结合报告基因载体中的5×UAS调控元件(酵母上游激活序列)。由此形成的DNA-蛋白质组装体促进启动子的转录激活,启动目标基因表达。
更为关键的是系统的可逆性。当细胞暴露于740 nm远红光时,光敏色素的辅色团发生波长依赖的光异构化,导致ΔPhyA-FHY1结合界面的结构重组,触发复合物解离。这种光可逆解离有效终止转录激活,实现了基因表达的精确时空控制。
研究团队对这一系统进行了系统的参数优化。论文Figure 2C-E显示了光强度依赖性细胞因子分泌曲线。工程化细胞在不同强度的660 nm光照射下(0、0.2、1、2 mW/cm²),每次照射5秒,连续2天,48小时后采集培养上清,通过ELISA定量IFN-γ、CD47抗体和IL-6的产生。数据显示,在1 mW/cm²光强下,系统达到最佳诱导效率,IFN-γ分泌量达到约8000 pg/ml,CD47抗体约600 pg/ml,IL-6约4000 pg/ml。

论文Figure 2F-H进一步揭示了时间依赖性分泌特征。在固定光强(1 mW/cm²)下,改变照射时长(0-60秒),结果表明5秒照射即可达到接近饱和的诱导水平,这为临床应用中的光剂量优化提供了重要依据。

**最令人瞩目的是系统的双向调控能力(Figure 2I-L)**。实验设置了三组:A组为暗处理对照,B组仅给予660 nm红光激活(5秒),C组先后给予660 nm红光和740 nm远红光各5秒。结果显示,C组在远红光照射后,IFN-γ分泌量从约8000 pg/ml迅速降至约1000 pg/ml,CD47抗体和IL-6也出现相似的急剧下降,证明了系统的快速可逆性。这种快速关闭能力对于避免细胞因子过度释放导致的毒性至关重要。

单细胞纳米包封如何兼顾保护与功能?
光遗传调控系统解决了细胞因子表达的精确控制问题,但工程化细胞在体内面临另一个关键挑战:免疫清除和机械应力导致的细胞功能丧失。为此,研究团队开发了一种基于酶介导原位聚合的单细胞表面工程策略。

论文Figure 3A展示了细胞表面包封工程的示意图。该策略的核心是构建HRP-pHLIP融合蛋白表达系统。辣根过氧化物酶(HRP)的C端与pH低插入肽(pHLIP)的N端通过基因重组融合。pHLIP是一段特殊的多肽序列,在弱酸性条件(pH 6.5)下发生构象转变,采用跨膜α-螺旋构象,实现融合蛋白向质膜的定向锚定,同时保持HRP催化域暴露于细胞外。

Figure 3B展示了HRP-pHLIP的表达和纯化结果。SDS-PAGE分析显示,纯化后的融合蛋白纯度超过90%,为后续细胞表面修饰提供了高质量的酶促聚合催化剂。
随后,锚定于膜表面的HRP催化介导的多巴胺修饰透明质酸(HA-DA)交联反应,在每个细胞表面快速形成一层致密的水凝胶基质。透明质酸的选择具有三重意义:首先,作为细胞外基质的天然成分,HA具有优异的生物相容性和可降解性;其次,HA与肿瘤细胞高表达的CD44受体具有高亲和力,赋予包封细胞主动肿瘤靶向能力;第三,HA的阴离子特性有助于形成半透性屏障,允许氧气、离子和分泌蛋白自由扩散,同时阻隔免疫细胞识别。

Figure 3C通过荧光显微镜验证了包封效果。使用FAM-NHS标记的HA-DA包封细胞后,可见细胞表面均匀的绿色荧光信号,DAPI染色细胞核呈蓝色。流式细胞术定量分析(Figure 3D)显示,包封效率高达90.3±2.1%,证明了该方法的高效性和均一性。

Zeta电位测量(Figure 3G)提供了包封成功的化学证据。天然细胞表面电位为-15.8±0.9 mV,游离HA-DA为-32.6±1.5 mV,包封细胞的电位为-25.3±1.2 mV,介于两者之间,定量确证了表面修饰的成功。
包封层的生物功能至关重要。Live/Dead染色实验(Figure 3H)显示,包封后细胞活力为92.4±3.1%,与未处理对照组(94.7±2.8%)无显著差异,证明包封过程对细胞活性无不利影响。

酶耐受性测试(Figure 3I)揭示了包封层的保护功能。在0.1% (w/v)胰蛋白酶-EDTA处理30分钟后,包封细胞存活率为85.2±2.9%,显著高于未包封细胞的62.3±4.1%,表明水凝胶层有效抵御了蛋白酶降解。

机械稳定性评估(Figure 3J)同样令人印象深刻。在400g离心应力下,包封细胞活力为76.9±4.1%,远高于天然细胞的32.7±2.0%,证明纳米凝胶层显著增强了细胞对剪切力的抵抗能力。这一特性对于静脉注射后细胞在循环系统中的存活至关重要。
最后,分泌功能验证(Figure 3K)消除了对包封可能阻碍蛋白分泌的担忧。使用分泌型碱性磷酸酶(SEAP)作为报告蛋白,包封细胞与天然细胞的SEAP分泌量无显著差异,证明纳米级水凝胶层的半透性足以支持治疗性蛋白的高效释放。

体内靶向递送与光控释放如何协同作战?
单细胞包封赋予了工程化细胞体内递送能力。研究团队通过Cy5荧光标记细胞,系统评估了包封细胞的体内分布动力学。

论文Figure 5A展示了实验设计方案。小鼠尾静脉注射个包封细胞后,在2-24小时多个时间点采集主要器官进行离体成像。
Figure 5B的离体IVIS成像结果揭示了HA介导的主动靶向机制。为区分主动靶向与非特异性积累,研究者设计了聚谷氨酸(PGA)包封对照组——PGA虽具有与HA相似的阴离子特性,但不具备CD44亲和力。结果显示,HA包封细胞在肿瘤肺组织中的荧光强度显著高于PGA包封组,证实了HA-CD44相互作用驱动的肿瘤特异性富集。

脱靶器官激活控制实验(Figure 5C-D)展示了光遗传系统的精准性。尽管肝脏也有细胞积累,但仅对肺部进行局部光照射后,荧光素酶表达仅在肺组织显著诱导,肝脏及其他器官保持基线水平。这一结果证明,局部光照有效解耦了细胞定植部位与治疗作用部位,即使有脱靶分布,只要不施加光照,脱靶器官就不会产生治疗蛋白,从而避免了系统性毒性。

体内光控细胞因子释放动力学(Figure 5E-M)展示了系统的双向调控能力。小鼠被分为三组:暗处理对照组、红光持续激活组(on)、红光/远红光交替组(on/off),以及红光激活后转为暗处理组(on-then-dark)。
在红光激活组,**IFN-γ血清浓度在第2天达到约400 pg/ml,CD47抗体约30 pg/ml,IL-6约200 pg/ml,并在持续光照下维持稳定水平(Figure 5E, H, K)**。
**on/off交替组的数据更具启发性(Figure 5F, I, L)**。第1天红光激活后细胞因子水平升高,第2-3天远红光照射后,IFN-γ迅速降至约50 pg/ml,CD47抗体降至约5 pg/ml,IL-6降至约30 pg/ml。第4天再次红光激活,细胞因子水平又重新上升,证明系统可实现多轮可逆调控而无功能衰减。

on-then-dark对照组(Figure 5G, J, M)的设置非常关键。该组在第1天红光激活后,第2-4天保持暗处理。结果显示,细胞因子水平虽有下降,但仍维持在相对较高水平(IFN-γ约200 pg/ml),远高于远红光主动抑制后的水平。这一对比实验证明,仅停止红光刺激不足以快速终止分泌,必须通过远红光主动解离转录复合物才能实现快速关闭,这对于临床应用中避免细胞因子累积性毒性至关重要。
肿瘤微环境重塑的免疫学机制是什么?
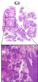
论文Figure 6展示了包封工程细胞在4T1肺转移模型中的治疗效果。实验设计了6个治疗组:G1(PBS对照)、G2(天然细胞)、G3(包封工程细胞暗处理)、G4(包封工程细胞持续表达)、G5(工程细胞红光/远红光调控)、G6(包封工程细胞红光/远红光调控)。

Figure 6B-C的生物发光成像动态监测显示,第1天各组肿瘤负荷基本一致,随着时间推移(第3、7、11、15天),G6组(包封工程细胞RL/FRL)的肿瘤生长抑制效果最为显著,荧光强度增长最缓慢。

第15天的终点分析(Figure 6D)揭示了组间差异。G4组(持续表达)虽有抗肿瘤活性,但血液学分析(Figure 6E-F)显示该组出现白细胞增多(WBC约12×10³/μl)和血小板减少(PLT约400×10³/μl),提示免疫过度激活和潜在的细胞因子风暴相关毒性。相比之下,G6组在实现强效肿瘤抑制的同时,白细胞和血小板计数保持正常范围,证明光控动态调节有效缓解了细胞因子风暴风险。

系统性免疫激活的细胞因子图谱(Figure 7D-H)揭示了复杂的免疫调节网络。G6组诱导了独特的细胞因子特征:IL-17升高约150 pg/ml,而IL-1β、IL-10、MCP-1和VEGF显著降低。这种细胞因子模式提示,由包封细胞产生的IFN-γ、CD47抗体和IL-6启动了一个协调的免疫级联反应。

组织学和免疫荧光分析(Figure 7I-J)提供了直观的治疗效果证据。H&E染色显示,PBS对照组肺组织布满密集的转移结节,而G6组肺部几乎完全清除了转移灶。CD80(抗原呈递细胞标记)和CD8(细胞毒性T细胞标记)的免疫荧光染色显示,活性治疗组(G4、G5、G6)的CD80⁺和CD8⁺细胞浸润显著高于对照组。

Figure 7K-M量化了肺组织中的细胞因子水平。**包封工程细胞(RL/FRL)组的IFN-γ约为1200 pg/g组织,CD47抗体约100 pg/g,IL-6约600 pg/g,显著高于非包封工程细胞组(RL/FRL)**。这一差异表明,包封有效增强了工程细胞在体内的功能持久性,可能通过延长细胞存活和维持肿瘤滞留时间实现。

**流式细胞术深入解析了免疫细胞亚群的变化(Figure 8)**。在髓系细胞方面,**G6组显著减少了肺组织中的免疫抑制性SIRPα⁺巨噬细胞(CD11b⁺F4/80⁺,1.7倍降低)、M2型巨噬细胞(CD206⁺CD11b⁺F4/80⁺,1.4倍降低)和髓源性抑制细胞(CD45⁺CD11b⁺GR1⁺,1.3倍降低)(Figure 8A-C)**。

相应地,树突状细胞(CD45⁺CD11c⁺F4/80⁻CD11b⁺)增加1.4倍(Figure 8D),提示抗原呈递能力增强。

**在淋巴细胞亚群方面,G6组展现出显著的抗肿瘤T细胞扩增:CD8⁺ T细胞(CD45⁺CD8⁺)增加2.8倍,CD4⁺ T细胞(CD45⁺CD4⁺)增加1.8倍,同时调节性T细胞(CD4⁺Foxp3⁺)减少1.6倍(Figure 8E-G)**。这种T细胞亚群的转变可能归因于抗原呈递细胞活性的提升,促进了抗肿瘤T细胞群体的扩增。

三效协同的分子机制如何驱动抗肿瘤免疫?
研究团队设计的三效协同策略具有精巧的免疫学逻辑。IFN-γ、IL-6和CD47抗体并非简单叠加,而是构成了一个相互强化的免疫激活级联。
首先,IL-6通过激活巨噬细胞的STAT1通路增强抗原呈递功能。在分子水平,IL-6与其受体结合后激活JAK-STAT信号通路,上调MHC-II类分子表达,提升抗原加工和呈递效率。同时,**IFN-γ诱导肿瘤细胞表面暴露"eat-me"信号分子如钙网蛋白(calreticulin)**。这种免疫原性细胞死亡标志物的暴露使肿瘤细胞成为巨噬细胞的优先吞噬靶标。
然而,肿瘤细胞的CD47-SIRPα轴构成了"don't-eat-me"信号,抑制巨噬细胞吞噬。CD47抗体通过阻断这一抑制性检查点,逆转巨噬细胞的"勿食"抑制。具体而言,CD47抗体与肿瘤细胞表面CD47结合,阻止其与巨噬细胞表面SIRPα受体相互作用,解除吞噬抑制信号。
三者的协同作用机制可概括为:IL-6增强巨噬细胞的"吃"的能力,IFN-γ增强肿瘤的"被吃"信号,CD47抗体移除"不要吃"的刹车。这种三位一体的策略不仅提高了巨噬细胞吞噬率,更重要的是促进了肿瘤抗原的交叉呈递,驱动CD8⁺ T细胞介导的适应性免疫应答。
流式数据支持了这一机制推断:树突状细胞的增加(1.4倍)为抗原呈递提供了更多效应器,CD8⁺ T细胞的大幅扩增(2.8倍)则是交叉呈递成功激活细胞毒性T淋巴细胞反应的直接证据。同时,调节性T细胞的减少(1.6倍降低)进一步消除了免疫抑制性微环境,形成了有利于抗肿瘤免疫的正反馈循环。
光遗传细胞疗法的临床转化前景如何?
尽管本研究在肺转移模型中取得了令人鼓舞的结果,15天后仍有残留肿瘤提示了实体瘤清除的固有挑战。研究团队认为,这种不完全消退归因于两方面因素:一是工程细胞体内存活时间有限,导致局部细胞因子浓度逐渐下降,最终低于完全清除肿瘤所需的阈值;二是肿瘤固有的异质性和免疫抑制性微环境仍可能中和部分诱导的免疫应答。
技术层面,该平台面临的主要挑战是远红光的组织穿透深度有限,限制了对深部转移灶(如骨骼或脑部微环境)的治疗。未来发展方向可能包括整合超声基因系统或基于半导体的合成生物学工具,以克服穿透限制。
患者特异性免疫景观要求可定制的细胞因子释放动力学和组合谱。未来迭代版本可能整合生物传感器驱动的闭环调控电路,实现实时微环境响应性治疗调节。例如,通过检测肿瘤微环境中的代谢产物(如乳酸)或免疫检查点分子表达水平,自动调整细胞因子输出强度,形成真正的智能化"活体药物工厂"。
对于脱靶器官积累问题,研究团队提出通过介入放射学技术,如直接注射至支气管动脉,绕过系统循环,最小化肝脏积累,从而防止脱靶激活。这种局部递送策略结合局部光照,可进一步提升治疗的精准性。
本研究建立了闭环可控免疫疗法的概念验证,其中光调控的活体治疗剂实现了按需免疫重编程。光遗传学与生物材料递送的结合代表了一种创新的治疗策略,为开发无创、患者特异性的疗法提供了新范式。从工程化细胞到"智能药物工厂",从被动治疗到主动调控,这一技术路线展现了合成生物学在精准医学领域的巨大潜力。
论文引用:
Zhao Y, Li R, Han Y, Shi C, Lee K, Nie G, Chen Y. On-demand cancer immunotherapy via single-cell encapsulation of synthetic circuit-engineered cells. Sci Adv. 2026;12(2):eea3573. doi:10.1126/sciadv.aea3573
---------------------结束---------------------
— 商务合作|AI for Science / AI 制药:模型复现、训练微调、部署与平台工程化交付 —
我们提供AI大模型工程化与可交付部署服务服务,面向 AI for Science / AI 制药方向(包括蛋白质、分子生成、结构预测、虚拟筛选、docking、单细胞等)。从“研究脚本”升级为可复现、可训练可微调、可评测、可部署、可交接的系统化工程。
1)环境与复现交付(从零到跑通)
- 环境固化:Docker / Conda 方案(二选一或双方案),依赖锁定、版本记录、可迁移配置
- GPU 适配:CUDA/驱动/torch 版本匹配与验证,单机/多卡环境可用性检查
- 一键运行:安装 → 下载模型/数据 → 运行 → 输出结果 的脚本化流程
- 结果对齐:复现基准实验(baseline),对齐论文/仓库给出的关键指标或输出格式
- 交付产物:可复现目录结构、运行命令清单、运行日志与产物说明
2)训练(Training)与微调(Fine-tuning)工程交付
训练入口工程化:将训练脚本整理为统一入口(参数配置、日志、保存、恢复、评测)
数据管线:数据下载/清洗/切分(train/val/test)、缓存、数据版本管理与校验
训练配置体系:YAML/JSON 配置化(超参、模型、数据、评测、输出路径统一管理)
- 轻量化微调(如 LoRA/Adapter 等,视项目适配)
可恢复训练:断点续训(checkpoint)、自动保存与恢复、训练中断容错
实验追踪:记录参数、代码版本、数据版本、随机种子、checkpoint 与产物清单
多卡/分布式训练(如需要):单机多卡、分布式启动脚本、通信参数与稳定性验证
训练质量控制:loss 曲线、梯度/数值稳定性检查、过拟合监控、早停策略(可选)
交付产物:训练配置、启动脚本、checkpoint 管理规范、训练/微调报告(含关键图表)
3)推理(Inference)与批量任务运行
- 推理脚本统一化:输入输出格式规范(文件/参数/API),批量推理支持
- 任务编排:多任务队列、批处理、并发控制、断点续跑(适合大规模生成/筛选)
- 产物管理:输出结果落盘、结构化记录(便于后续筛选/追溯/复用)
- 性能优化:显存/吞吐优化建议(batch、精度、缓存、流水线等,视项目适配)
4)评测(Evaluation)与报告自动化
- 评测指标体系:整理并实现项目/论文常用指标(按方向与任务定制)
- 对照实验:baseline 与 ablation 的标准化跑法(同一套脚本、同一套记录)
- 自动化报告:输出标准报告(表格/图表/关键结论/配置与复现实验命令)
- 可追溯性:报告自动引用对应的版本、数据、参数与产物路径,便于复查
5)平台化与团队可用(课题组/团队落地)
工作流平台化:数据 → 训练/微调/推理 → 评测 → 报告 的端到端流水线
实验管理:项目/实验命名规范、任务列表、运行状态、失败原因归因与重跑
多用户协作(可选):权限与审计、共享资源管理、结果集中存储
- 简单 Web 面板(提交任务/查看结果/下载报告)
6)部署、运维与交付
- 服务器部署:远程部署到你的服务器/云 GPU(含常见运维配置)
- 监控与告警(可选):运行状态、资源占用、失败告警、成本/时长统计
- 交付文档:Runbook(从零部署、日常运行、排障指南)
- 交付录屏:关键流程演示(部署、训练、推理、评测、报告)
- 培训与售后:1 小时培训(可录屏)+ 限期售后支持(可选按月订阅维护)
咨询:panp6600
生物大模型训练微调应用&AI蛋白质设计专业教程 请进 知识星球 👇👇👇(可开票 苹果支付需联系客服 nnhhce )




科研、项目、商务合作:nnhhce (注明来意,清北硕博团队专注于AI for Science大模型)