
近日,郑州市第七人民医院多学科团队精准协作,为一名76岁高龄、多合并症、心脏外科术后的复杂三尖瓣重度反流患者,成功实施K-Clip®经导管三尖瓣瓣环成形术。术中精准植入两枚K-Clip®夹子,患者三尖瓣反流由术前重度4+即刻降至轻度1+,胸闷症状显著缓解,心功能与生活质量明显改善,标志着郑州市第七人民医院在三尖瓣微创介入治疗领域再获新突破。
病例资料
一般情况
患者女性,76岁,因 “间断胸闷2年,加重1周” 入院。既往史:1991年行二尖瓣置换术(机械瓣);持续性心房颤动40年,长期口服华法林钠片抗凝;重度慢性阻塞性肺疾病(COPD)。
入院诊断
1. 风湿性心脏病;三尖瓣重度关闭不全(TR 4+);肺动脉高压;急性心力衰竭;二尖瓣置换术后;
2. 心律失常:持续性心房颤动伴RR长间歇,频发室性早搏;
3. 上呼吸道感染;
4. 冠状动脉粥样硬化;
5. 肾功能不全;
6. 肝功能不全;
7. 中度缺铁性贫血;
8. 慢性阻塞性肺疾病。
术前评估
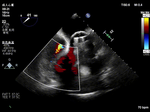
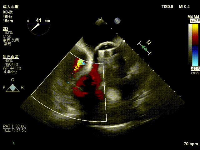
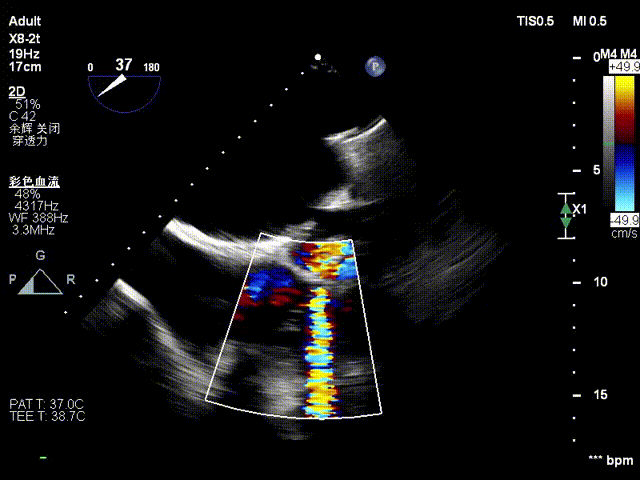
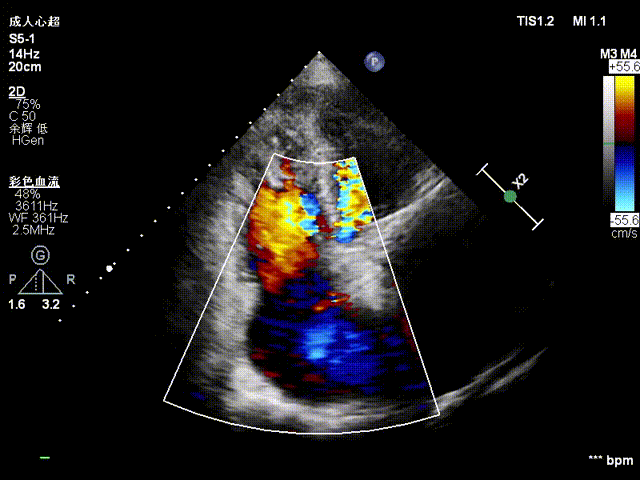
超声心动图:三尖瓣瓣环显著扩张(平均径42mm),瓣叶对合不良,TR 4+;肺动脉收缩压 58mmHg;左心室射血分数(LVEF)54%;人工二尖瓣功能未见异常。
心电图:持续性心房颤动,RR长间歇2.8s,频发室性早搏。
多学科评估:患者高龄、多器官功能不全,外科开胸手术风险极高(EuroSCORE II 12.8%)。郑州市第七人民医院心内科十病区张申伟教授团队牵头组织心内科、心外科、麻醉科、超声医学科等多学科联合会诊,结合团队在经导管瓣膜介入治疗领域的丰富经验(累计完成数百例复杂瓣膜手术,涵盖主动脉瓣、二尖瓣、三尖瓣全系列介入治疗),最终判定患者符合经导管三尖瓣介入治疗(TTVI)指征,确定采用 K-Clip® 经导管三尖瓣环成形系统实施微创治疗。
手术过程
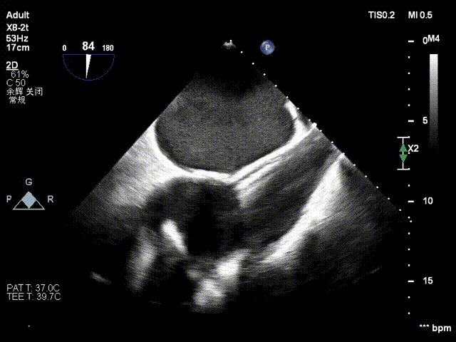
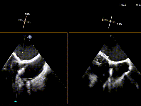
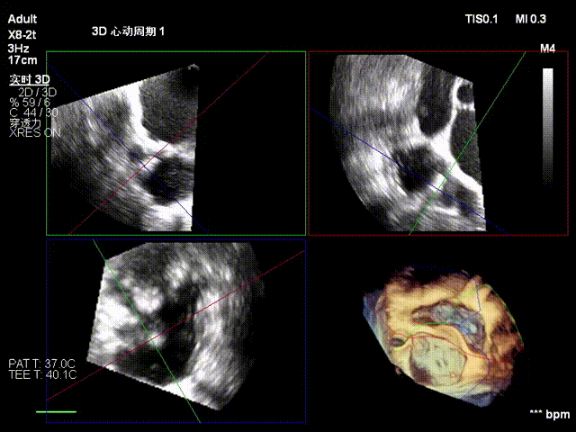
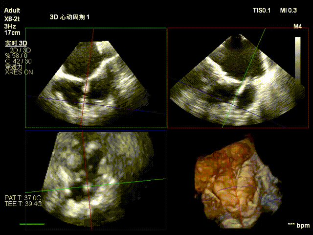
经右颈内静脉穿刺建立通路,置入18Fr鞘管,将K-Clip®输送系统送达右心房。依托三维经食管超声心动图(3D TEE)联合 DSA 双模态引导,经验精准定位瓣环,于后隔交界(P-S commissure)植入14T规格K-Clip®,前后交界(A-P commissure)植入16T规格K-Clip®,实现瓣环多点精准环缩。每枚夹子释放后,团队实时通过超声评估瓣叶对合及反流改善情况,严格遵循 “精准定位 - 锚定验证 - 安全解离” 的规范化操作流程,确认无瓣叶损伤、瓣口狭窄及心包并发症后,完成器械解离与撤出。
1. 术中基线评估三尖瓣反流程度


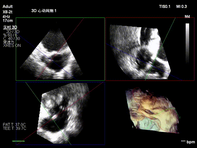
2. 超声引导下置入大鞘和输送系统


3. 控弯旋转输送器指向靶点,3D MPR平面攻入锁定螺丝


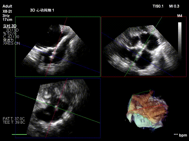
4. 调整Oreintation后夹持臂着陆,缓慢关闭夹持臂


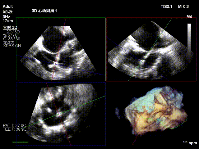
5. 第二枚夹子同样操作,三维下夹子形态稳定




术后结果
1. 瓣环面积由18.7降至11.9,瓣环面积减少36%。


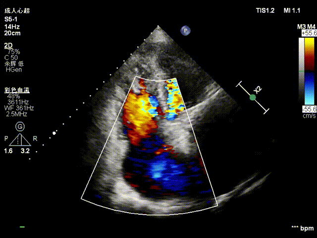
2. 术前反流4+降至1+。




3. 临床恢复情况:术后无出血、心包填塞、严重心律失常等并发症;出院前患者NYHA心功能分级由IV级提升至II级,超声复查TR维持1+,无器械相关不良事件,随访结果进一步验证了手术的有效性与安全性。
技术要点与讨论
1. 高危病例的诊疗决策逻辑
该病例的核心挑战在于 “多重高危因素叠加”:二尖瓣置换术后解剖改变、重度COPD、多器官功能不全,导致外科手术风险超出耐受范围。张申伟教授团队基于国家结构性心脏病介入培训基地的技术积累,精准把握K-Clip®系统血管入路、无需体外循环的微创特性及操作可逆性,将其作为此类高危患者的优选方案,既契合瓣膜病介入治疗 “微创化、个体化” 的发展方向,也体现了团队在复杂病例诊疗决策中的精准判断力。
2. K-Clip® 双夹策略的技术优势与团队经验
解剖适配性:针对瓣环扩张(42mm),张申伟教授团队采用后隔交界 + 前后交界双位点环缩策略,该策略基于团队对三尖瓣解剖结构的深刻理解,可更均匀地缩小瓣环周长,提升瓣叶对合效果,优于单点环缩的局限,与团队既往K-Clip® 手术的技术要点高度一致。
精准可控性:依托团队熟练掌握的3D TEE实时可视化技术,可清晰显示瓣环结构与夹合装置位置,支持释放前反复调整,有效规避瓣叶夹闭、瓣口狭窄等并发症,这也是团队长期开展复杂瓣膜介入手术积累的核心技术优势之一。
微创兼容性:18Fr鞘管设计降低血管损伤风险,与患者高龄、多合并症的身体状况相适配,术后恢复快,缩短住院周期,充分体现了张申伟教授团队 “以患者为中心” 的微创治疗理念。
3. 临床应用价值与团队技术引领
郑州市第七人民医院作为国家结构性心脏病介入培训基地,常规开展各项复杂疑难心脏瓣膜介入手术,张申伟教授团队作为医院瓣膜介入核心力量,已成功开展包括K-Clip®经导管三尖瓣环成形术在内的全系列瓣膜介入治疗,此次病例的成功进一步验证了团队在复杂解剖条件下的技术实力。作为中国首款获批的经导管三尖瓣修复器械,K-Clip®系统通过模仿外科瓣环成形术的生理机制,为二尖瓣置换术后并发重度TR的高危人群提供了新的治疗路径,而张申伟教授团队的临床实践则为该技术在区域内的推广应用积累了宝贵经验,进一步拓展了TTVI的适应症边界,让更多河南及周边地区的高危TR患者无需远赴外地即可获得高质量微创治疗。
结论
郑州市第七人民医院张申伟教授团队采用K-Clip®经导管三尖瓣环成形术双夹子环缩策略,成功救治了一例高危复杂三尖瓣重度反流患者,手术实现TR由4+降至1+的显著疗效,且具有微创、精准、恢复快的优势。该病例的成功不仅彰显了团队在复杂瓣膜病介入治疗领域的深厚积淀与技术引领地位,也为外科手术高危的TR患者提供了重要治疗选择,具备较高的临床推广价值。
专家简介

张申伟
郑州市第七人民医院(点击查看专家详细简历)

扫码进入汇禾医疗学术专栏
了解更多精彩内容
· END ·

版权及免责声明:严道医声网旨在搭建学术传播及媒体发声平台,文内信息版权属于持有人,我们只提供传递信息之用。如有侵权,请联系我们删除。
点击“阅读原文”进入“汇禾医疗学术专栏”