当前位置:首页>郑州>IF 26.3!祝贺郑州大学第一附属医院首席科学家张毅教授,以国家级自然科学基金支持的前沿热点研究,成功联合攻克《Cell》子刊!

IF 26.3!祝贺郑州大学第一附属医院首席科学家张毅教授,以国家级自然科学基金支持的前沿热点研究,成功联合攻克《Cell》子刊!

  • 2026-05-09 11:07:56
IF 26.3!祝贺郑州大学第一附属医院首席科学家张毅教授,以国家级自然科学基金支持的前沿热点研究,成功联合攻克《Cell》子刊!
01
引言

肿瘤微环境(TME)通过代谢重编程导致CD8+ T细胞功能耗竭,其中磷脂代谢的作用机制尚不明确。

郑大一附院张毅教授团队在《Immunity》上发表的题为“PD-1信号通路限制磷脂磷酸酶1的表达并促进肿瘤内CD8+ T细胞铁死亡”的文章,旨在探索TME如何通过磷脂代谢影响CD8+ T细胞的功能。

💡研究亮点👇🏻

📌方法创新:首次揭示了PD-1信号通路通过调控磷脂代谢酶PLPP1诱导T细胞铁死亡的具体机制。

📐机制突破:首次将PD-1信号、磷脂代谢与铁死亡关联,深化了对T细胞耗竭机制的理解。

🩺临床价值:PLPP1可作为免疫治疗疗效预测标志物,提高PLPP1表达有望成为新的免疫治疗策略。

02
文献解读
03
方法创新

首次系统地描绘了肿瘤内CD8+ T细胞的磷脂代谢谱,发现关键的磷脂合成酶PLPP1在细胞中被特异性下调。为直接验证其功能,研究者创新性地构建并使用了T细胞条件性Plpp1基因敲除小鼠模型,从而能够在肿瘤免疫的复杂生理环境中,精确解析PLPP1缺失对T细胞死亡方式及抗肿瘤功能的影响,避免了全身性敲除的干扰。

04
机制创新

该研究提出了一个全新的免疫代谢调节轴:PD-1信号 → GATA1转录因子 → 抑制PLPP1表达 → 磷脂代谢失衡 → CD8+ T细胞铁死亡。这是首次明确将PD-1信号、T细胞磷脂代谢与细胞铁死亡三者建立直接的因果联系,突破了以往对T细胞耗竭机制集中于糖代谢的认识,为理解肿瘤免疫抑制提供了全新视角。

05
临床意义

它揭示PLPP1是决定PD-1免疫检查点抑制剂疗效的一个关键下游节点。研究发现,抗PD-1治疗无法挽救PLPP1缺陷T细胞的功能,这提示肿瘤患者体内CD8+ T细胞的PLPP1表达水平,可能作为预测免疫治疗响应的潜在生物标志物。同时,研究也为开发通过靶向提升PLPP1表达或阻断铁死亡来增强现有免疫疗法效果的新型联合策略,提供了坚实的理论依据

06
研究方法:
正在阅读正在阅读
正在阅读正在阅读

本研究采用多层次、系统性实验方法来解析PD-1信号如何通过磷脂代谢调控CD8+ T细胞。首先,通过代谢组学比较发现肿瘤内T细胞的磷脂含量及关键合成酶PLPP1表达下降。接着,构建T细胞特异性Plpp1基因敲除小鼠进行体内功能验证。在机制层面,运用染色质免疫沉淀等技术证实PD-1信号通过诱导GATA1结合至Plpp1启动子区来抑制其表达。最后,通过抗PD-1治疗、补充不饱和脂肪酸等干预实验,验证了PLPP1是PD-1信号下游的关键效应分子。

研究结果

磷脂酶PLPP1的缺失:

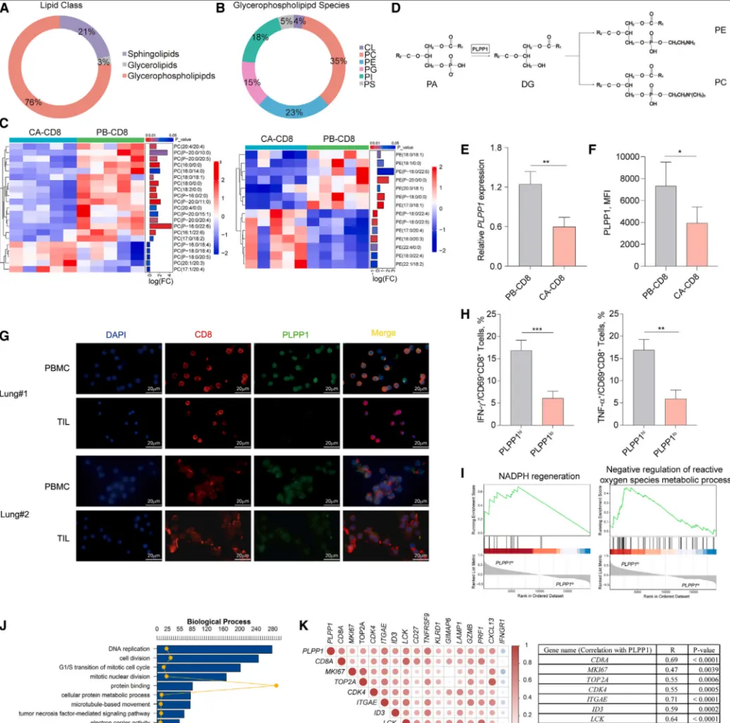
研究人员首先通过比较肺癌患者外周血与肿瘤组织中的CD8+ T细胞脂质谱,证实肿瘤内T细胞存在显著的磷脂代谢失调,具体表现为关键磷脂PC和PE的合成严重不足【图1A-C】。通过对合成通路的溯源分析,研究者将这一缺陷锁定在催化PC和PE合成的关键代谢酶——磷脂磷酸酶1(PLPP1)上【图1D】。

这一发现在肺癌、结肠癌及食管癌患者中得到了广泛验证:与循环中的T细胞相比,肿瘤浸润的CD8+ T细胞其PLPP1表达量均普遍显著下调【图1E-G】。功能关联分析显示,高表达PLPP1的CD8+ T细胞,其产生IFN-γ、TNF-α等关键效应细胞因子的能力更强,抗肿瘤功能更优【图1H】。生物信息学分析进一步表明,高PLPP1 T细胞富集了更强的增殖、活化及抗氧化应激相关基因特征【图1I, J】

PLPP1缺失直接“触发”CD8+T细胞铁死亡:

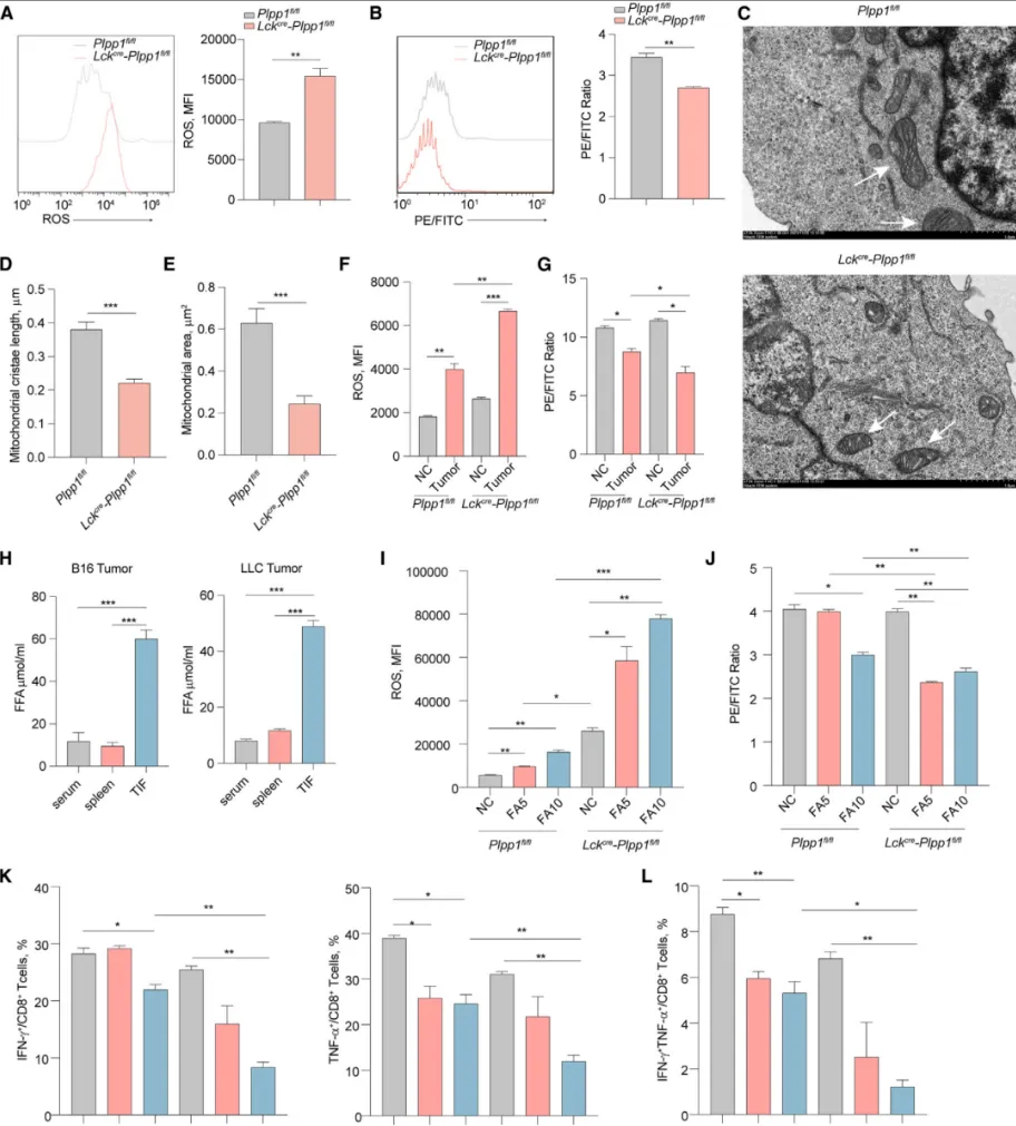
为明确PLPP1的功能,研究者构建了T细胞特异性敲除Plpp1的小鼠模型(Lckcre-Plpp1fl/fl)。实验证实,Plpp1敲除小鼠在接种黑色素瘤或肺癌细胞后,肿瘤生长显著加快,生存期明显缩短【图2A-D】。通过预先清除CD8+ T细胞进行反向验证,发现两组小鼠肿瘤生长无差异,确证表型源于CD8+ T细胞功能受损。

RNA-seq分析揭示,Plpp1缺失的CD8+ T细胞中,氧化应激与铁死亡相关通路基因显著富集【图2J-M】。细胞死亡实验进一步证实,Plpp1缺失导致的T细胞死亡可被铁死亡特异性抑制剂(Ferrostatin-1)挽救,而非凋亡或坏死抑制剂【图2N-Q】。一致性验证显示,铁死亡激动剂(RSL3)能模拟Plpp1缺失表型,而PlPP1过表达(Plpp1-OE)则能抵抗铁死亡【图2R-S】。

脂肪酸加剧Plpp1缺失CD8+T细胞的铁死亡:

肿瘤微环境中的代谢物质协同促进了CD8+ T细胞的铁死亡。研究发现,Plpp1敲除的CD8+ T细胞内,ROS与脂质过氧化水平显著升高【图3A-B】,电镜下观察到了线粒体嵴紊乱等铁死亡典型超微结构改变【图3C-E】。

当这些细胞与肿瘤组织共培养后,ROS和脂质过氧化水平进一步急剧飙升【图3F-G】。分析发现,肿瘤间质液(TIF)中的游离脂肪酸含量远高于血清和脾脏【图3H】。

关键干预实验显示,用脂肪酸处理CD8+ T细胞,会显著加剧Plpp1敲除组的ROS/脂质过氧化水平,并更严重地损害其效应分子分泌功能【图3I-L】。这证明,肿瘤微环境中富集的游离脂肪酸,是特异性加剧Plpp1缺失T细胞铁死亡的关键“助推剂”

不饱和脂肪酸通过重塑磷脂种类诱导铁死亡:

对肿瘤组织中脂肪酸种类的分析显示,不饱和脂肪酸(如花生四烯酸AA、油酸OA)含量显著升高,而饱和脂肪酸相对降低【图4A-B】。当Plpp1缺失的CD8+ T细胞暴露于AA或OA时,其活性氧水平、脂质过氧化程度和铁死亡率均显著高于对照细胞【图4C-D】。

这证实,肿瘤微环境中富集的不饱和脂肪酸是特异性触发Plpp1缺失CD8+ T细胞铁死亡的关键环境因素。作为对照,实验进一步发现,过表达PLPP1的CAR-T细胞展现出更强的磷脂水平、抗肿瘤活性和体内外增殖能力【图4E-R】。

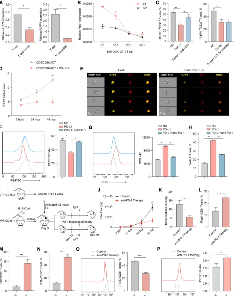
体外实验:体外验证实验发现,当CD8+ T细胞与肿瘤细胞共培养时,其PLPP1的表达水平会显著下降。而使用PD-1的特异性阻断抗体(而非CTLA-4阻断抗体)可以逆转这一效应,有效恢复CD8+ T细胞中PLPP1的表达【图5A-C】。这直接证明了PD-1信号通路是肿瘤微环境中负向调控CD8+ T细胞PLPP1表达的上游关键信号信号通路解析:

机制研究发现,激活PD-1信号会抑制下游的Akt通路。通过转录因子筛选和染色质免疫共沉淀实验证实,Akt抑制会促进转录因子GATA1入核,并直接结合到PLPP1基因的启动子区域,从而抑制PLPP1的转录表达【图6A-H】。

功能回复实验进一步证明,人为敲低GATA1后,即使PD-1信号被激活,PLPP1的表达仍能维持,且T细胞的抗肿瘤功能随之显著增强【图6I-P】。这确定了GATA1是连接PD-1信号与PLPP1表达抑制的关键分子中介。

临床意义:PLPP1水平决定免疫治疗疗效:

在荷瘤小鼠模型中,PD-1抑制剂能够显著提升肿瘤内T细胞的PLPP1表达,并降低其铁死亡水平,从而发挥抗肿瘤疗效。然而,对于T细胞特异性敲除Plpp1的小鼠,PD-1抑制剂则完全失去治疗作用【图7A-D】。这证明,PD-1抑制剂发挥疗效至少部分依赖于其对PLPP1表达与功能的恢复

对临床样本的分析印证了这一发现:在食管癌和肺癌患者中,CD8+ T细胞的PLPP1表达量与细胞增殖标志物Ki67及效应因子表达呈正相关。更为关键的是,在接受抗PD-1治疗的患者中,治疗后其T细胞的PLPP1表达量显著上升【图7E-O】,为机制的临床相关性提供了直接证据。

文章小结

本研究系统揭示了肿瘤微环境中PD-1信号通过Akt-GATA1轴抑制磷脂代谢关键酶PLPP1的表达,从而导致CD8+ T细胞发生磷脂代谢缺陷和铁死亡,最终导致其抗肿瘤功能衰竭的完整分子机制。这一发现不仅深化了对T细胞耗竭与代谢重塑关联的理解,更为重要的是,它将PLPP1确立为连接PD-1信号与细胞铁死亡的核心枢纽和潜在治疗靶点,为临床上克服PD-1抑制剂耐药、开发新的联合免疫治疗策略提供了坚实的理论基础与全新的干预思路。

复刻高文章

欢迎咨询

最新文章

随机文章

基本 文件 流程 错误 SQL 调试
  1. 请求信息 : 2026-05-18 10:55:51 HTTP/2.0 GET : https://i.460.net.cn/a/473359.html
  2. 运行时间 : 0.087415s [ 吞吐率:11.44req/s ] 内存消耗:4,477.97kb 文件加载:140
  3. 缓存信息 : 0 reads,0 writes
  4. 会话信息 : SESSION_ID=76a082fe830900453cfd4871dde47eca
  1. /yingpanguazai/ssd/ssd1/www/i.460.net.cn/public/index.php ( 0.79 KB )
  2. /yingpanguazai/ssd/ssd1/www/i.460.net.cn/vendor/autoload.php ( 0.17 KB )
  3. /yingpanguazai/ssd/ssd1/www/i.460.net.cn/vendor/composer/autoload_real.php ( 2.49 KB )
  4. /yingpanguazai/ssd/ssd1/www/i.460.net.cn/vendor/composer/platform_check.php ( 0.90 KB )
  5. /yingpanguazai/ssd/ssd1/www/i.460.net.cn/vendor/composer/ClassLoader.php ( 14.03 KB )
  6. /yingpanguazai/ssd/ssd1/www/i.460.net.cn/vendor/composer/autoload_static.php ( 4.90 KB )
  7. /yingpanguazai/ssd/ssd1/www/i.460.net.cn/vendor/topthink/think-helper/src/helper.php ( 8.34 KB )
  8. /yingpanguazai/ssd/ssd1/www/i.460.net.cn/vendor/topthink/think-validate/src/helper.php ( 2.19 KB )
  9. /yingpanguazai/ssd/ssd1/www/i.460.net.cn/vendor/topthink/think-orm/src/helper.php ( 1.47 KB )
  10. /yingpanguazai/ssd/ssd1/www/i.460.net.cn/vendor/topthink/think-orm/stubs/load_stubs.php ( 0.16 KB )
  11. /yingpanguazai/ssd/ssd1/www/i.460.net.cn/vendor/topthink/framework/src/think/Exception.php ( 1.69 KB )
  12. /yingpanguazai/ssd/ssd1/www/i.460.net.cn/vendor/topthink/think-container/src/Facade.php ( 2.71 KB )
  13. /yingpanguazai/ssd/ssd1/www/i.460.net.cn/vendor/symfony/deprecation-contracts/function.php ( 0.99 KB )
  14. /yingpanguazai/ssd/ssd1/www/i.460.net.cn/vendor/symfony/polyfill-mbstring/bootstrap.php ( 8.26 KB )
  15. /yingpanguazai/ssd/ssd1/www/i.460.net.cn/vendor/symfony/polyfill-mbstring/bootstrap80.php ( 9.78 KB )
  16. /yingpanguazai/ssd/ssd1/www/i.460.net.cn/vendor/symfony/var-dumper/Resources/functions/dump.php ( 1.49 KB )
  17. /yingpanguazai/ssd/ssd1/www/i.460.net.cn/vendor/topthink/think-dumper/src/helper.php ( 0.18 KB )
  18. /yingpanguazai/ssd/ssd1/www/i.460.net.cn/vendor/symfony/var-dumper/VarDumper.php ( 4.30 KB )
  19. /yingpanguazai/ssd/ssd1/www/i.460.net.cn/vendor/topthink/framework/src/think/App.php ( 15.30 KB )
  20. /yingpanguazai/ssd/ssd1/www/i.460.net.cn/vendor/topthink/think-container/src/Container.php ( 15.76 KB )
  21. /yingpanguazai/ssd/ssd1/www/i.460.net.cn/vendor/psr/container/src/ContainerInterface.php ( 1.02 KB )
  22. /yingpanguazai/ssd/ssd1/www/i.460.net.cn/app/provider.php ( 0.19 KB )
  23. /yingpanguazai/ssd/ssd1/www/i.460.net.cn/vendor/topthink/framework/src/think/Http.php ( 6.04 KB )
  24. /yingpanguazai/ssd/ssd1/www/i.460.net.cn/vendor/topthink/think-helper/src/helper/Str.php ( 7.29 KB )
  25. /yingpanguazai/ssd/ssd1/www/i.460.net.cn/vendor/topthink/framework/src/think/Env.php ( 4.68 KB )
  26. /yingpanguazai/ssd/ssd1/www/i.460.net.cn/app/common.php ( 0.03 KB )
  27. /yingpanguazai/ssd/ssd1/www/i.460.net.cn/vendor/topthink/framework/src/helper.php ( 18.78 KB )
  28. /yingpanguazai/ssd/ssd1/www/i.460.net.cn/vendor/topthink/framework/src/think/Config.php ( 5.54 KB )
  29. /yingpanguazai/ssd/ssd1/www/i.460.net.cn/config/app.php ( 0.95 KB )
  30. /yingpanguazai/ssd/ssd1/www/i.460.net.cn/config/cache.php ( 0.78 KB )
  31. /yingpanguazai/ssd/ssd1/www/i.460.net.cn/config/console.php ( 0.23 KB )
  32. /yingpanguazai/ssd/ssd1/www/i.460.net.cn/config/cookie.php ( 0.56 KB )
  33. /yingpanguazai/ssd/ssd1/www/i.460.net.cn/config/database.php ( 2.47 KB )
  34. /yingpanguazai/ssd/ssd1/www/i.460.net.cn/vendor/topthink/framework/src/think/facade/Env.php ( 1.67 KB )
  35. /yingpanguazai/ssd/ssd1/www/i.460.net.cn/config/filesystem.php ( 0.61 KB )
  36. /yingpanguazai/ssd/ssd1/www/i.460.net.cn/config/lang.php ( 0.91 KB )
  37. /yingpanguazai/ssd/ssd1/www/i.460.net.cn/config/log.php ( 1.35 KB )
  38. /yingpanguazai/ssd/ssd1/www/i.460.net.cn/config/middleware.php ( 0.19 KB )
  39. /yingpanguazai/ssd/ssd1/www/i.460.net.cn/config/route.php ( 1.89 KB )
  40. /yingpanguazai/ssd/ssd1/www/i.460.net.cn/config/session.php ( 0.57 KB )
  41. /yingpanguazai/ssd/ssd1/www/i.460.net.cn/config/trace.php ( 0.34 KB )
  42. /yingpanguazai/ssd/ssd1/www/i.460.net.cn/config/view.php ( 0.82 KB )
  43. /yingpanguazai/ssd/ssd1/www/i.460.net.cn/app/event.php ( 0.25 KB )
  44. /yingpanguazai/ssd/ssd1/www/i.460.net.cn/vendor/topthink/framework/src/think/Event.php ( 7.67 KB )
  45. /yingpanguazai/ssd/ssd1/www/i.460.net.cn/app/service.php ( 0.13 KB )
  46. /yingpanguazai/ssd/ssd1/www/i.460.net.cn/app/AppService.php ( 0.26 KB )
  47. /yingpanguazai/ssd/ssd1/www/i.460.net.cn/vendor/topthink/framework/src/think/Service.php ( 1.64 KB )
  48. /yingpanguazai/ssd/ssd1/www/i.460.net.cn/vendor/topthink/framework/src/think/Lang.php ( 7.35 KB )
  49. /yingpanguazai/ssd/ssd1/www/i.460.net.cn/vendor/topthink/framework/src/lang/zh-cn.php ( 13.70 KB )
  50. /yingpanguazai/ssd/ssd1/www/i.460.net.cn/vendor/topthink/framework/src/think/initializer/Error.php ( 3.31 KB )
  51. /yingpanguazai/ssd/ssd1/www/i.460.net.cn/vendor/topthink/framework/src/think/initializer/RegisterService.php ( 1.33 KB )
  52. /yingpanguazai/ssd/ssd1/www/i.460.net.cn/vendor/services.php ( 0.14 KB )
  53. /yingpanguazai/ssd/ssd1/www/i.460.net.cn/vendor/topthink/framework/src/think/service/PaginatorService.php ( 1.52 KB )
  54. /yingpanguazai/ssd/ssd1/www/i.460.net.cn/vendor/topthink/framework/src/think/service/ValidateService.php ( 0.99 KB )
  55. /yingpanguazai/ssd/ssd1/www/i.460.net.cn/vendor/topthink/framework/src/think/service/ModelService.php ( 2.04 KB )
  56. /yingpanguazai/ssd/ssd1/www/i.460.net.cn/vendor/topthink/think-trace/src/Service.php ( 0.77 KB )
  57. /yingpanguazai/ssd/ssd1/www/i.460.net.cn/vendor/topthink/framework/src/think/Middleware.php ( 6.72 KB )
  58. /yingpanguazai/ssd/ssd1/www/i.460.net.cn/vendor/topthink/framework/src/think/initializer/BootService.php ( 0.77 KB )
  59. /yingpanguazai/ssd/ssd1/www/i.460.net.cn/vendor/topthink/think-orm/src/Paginator.php ( 11.86 KB )
  60. /yingpanguazai/ssd/ssd1/www/i.460.net.cn/vendor/topthink/think-validate/src/Validate.php ( 63.20 KB )
  61. /yingpanguazai/ssd/ssd1/www/i.460.net.cn/vendor/topthink/think-orm/src/Model.php ( 23.55 KB )
  62. /yingpanguazai/ssd/ssd1/www/i.460.net.cn/vendor/topthink/think-orm/src/model/concern/Attribute.php ( 21.05 KB )
  63. /yingpanguazai/ssd/ssd1/www/i.460.net.cn/vendor/topthink/think-orm/src/model/concern/AutoWriteData.php ( 4.21 KB )
  64. /yingpanguazai/ssd/ssd1/www/i.460.net.cn/vendor/topthink/think-orm/src/model/concern/Conversion.php ( 6.44 KB )
  65. /yingpanguazai/ssd/ssd1/www/i.460.net.cn/vendor/topthink/think-orm/src/model/concern/DbConnect.php ( 5.16 KB )
  66. /yingpanguazai/ssd/ssd1/www/i.460.net.cn/vendor/topthink/think-orm/src/model/concern/ModelEvent.php ( 2.33 KB )
  67. /yingpanguazai/ssd/ssd1/www/i.460.net.cn/vendor/topthink/think-orm/src/model/concern/RelationShip.php ( 28.29 KB )
  68. /yingpanguazai/ssd/ssd1/www/i.460.net.cn/vendor/topthink/think-helper/src/contract/Arrayable.php ( 0.09 KB )
  69. /yingpanguazai/ssd/ssd1/www/i.460.net.cn/vendor/topthink/think-helper/src/contract/Jsonable.php ( 0.13 KB )
  70. /yingpanguazai/ssd/ssd1/www/i.460.net.cn/vendor/topthink/think-orm/src/model/contract/Modelable.php ( 0.09 KB )
  71. /yingpanguazai/ssd/ssd1/www/i.460.net.cn/vendor/topthink/framework/src/think/Db.php ( 2.88 KB )
  72. /yingpanguazai/ssd/ssd1/www/i.460.net.cn/vendor/topthink/think-orm/src/DbManager.php ( 8.52 KB )
  73. /yingpanguazai/ssd/ssd1/www/i.460.net.cn/vendor/topthink/framework/src/think/Log.php ( 6.28 KB )
  74. /yingpanguazai/ssd/ssd1/www/i.460.net.cn/vendor/topthink/framework/src/think/Manager.php ( 3.92 KB )
  75. /yingpanguazai/ssd/ssd1/www/i.460.net.cn/vendor/psr/log/src/LoggerTrait.php ( 2.69 KB )
  76. /yingpanguazai/ssd/ssd1/www/i.460.net.cn/vendor/psr/log/src/LoggerInterface.php ( 2.71 KB )
  77. /yingpanguazai/ssd/ssd1/www/i.460.net.cn/vendor/topthink/framework/src/think/Cache.php ( 4.92 KB )
  78. /yingpanguazai/ssd/ssd1/www/i.460.net.cn/vendor/psr/simple-cache/src/CacheInterface.php ( 4.71 KB )
  79. /yingpanguazai/ssd/ssd1/www/i.460.net.cn/vendor/topthink/think-helper/src/helper/Arr.php ( 16.63 KB )
  80. /yingpanguazai/ssd/ssd1/www/i.460.net.cn/vendor/topthink/framework/src/think/cache/driver/File.php ( 7.84 KB )
  81. /yingpanguazai/ssd/ssd1/www/i.460.net.cn/vendor/topthink/framework/src/think/cache/Driver.php ( 9.03 KB )
  82. /yingpanguazai/ssd/ssd1/www/i.460.net.cn/vendor/topthink/framework/src/think/contract/CacheHandlerInterface.php ( 1.99 KB )
  83. /yingpanguazai/ssd/ssd1/www/i.460.net.cn/app/Request.php ( 0.09 KB )
  84. /yingpanguazai/ssd/ssd1/www/i.460.net.cn/vendor/topthink/framework/src/think/Request.php ( 55.78 KB )
  85. /yingpanguazai/ssd/ssd1/www/i.460.net.cn/app/middleware.php ( 0.25 KB )
  86. /yingpanguazai/ssd/ssd1/www/i.460.net.cn/vendor/topthink/framework/src/think/Pipeline.php ( 2.61 KB )
  87. /yingpanguazai/ssd/ssd1/www/i.460.net.cn/vendor/topthink/think-trace/src/TraceDebug.php ( 3.40 KB )
  88. /yingpanguazai/ssd/ssd1/www/i.460.net.cn/vendor/topthink/framework/src/think/middleware/SessionInit.php ( 1.94 KB )
  89. /yingpanguazai/ssd/ssd1/www/i.460.net.cn/vendor/topthink/framework/src/think/Session.php ( 1.80 KB )
  90. /yingpanguazai/ssd/ssd1/www/i.460.net.cn/vendor/topthink/framework/src/think/session/driver/File.php ( 6.27 KB )
  91. /yingpanguazai/ssd/ssd1/www/i.460.net.cn/vendor/topthink/framework/src/think/contract/SessionHandlerInterface.php ( 0.87 KB )
  92. /yingpanguazai/ssd/ssd1/www/i.460.net.cn/vendor/topthink/framework/src/think/session/Store.php ( 7.12 KB )
  93. /yingpanguazai/ssd/ssd1/www/i.460.net.cn/vendor/topthink/framework/src/think/Route.php ( 23.73 KB )
  94. /yingpanguazai/ssd/ssd1/www/i.460.net.cn/vendor/topthink/framework/src/think/route/RuleName.php ( 5.75 KB )
  95. /yingpanguazai/ssd/ssd1/www/i.460.net.cn/vendor/topthink/framework/src/think/route/Domain.php ( 2.53 KB )
  96. /yingpanguazai/ssd/ssd1/www/i.460.net.cn/vendor/topthink/framework/src/think/route/RuleGroup.php ( 22.43 KB )
  97. /yingpanguazai/ssd/ssd1/www/i.460.net.cn/vendor/topthink/framework/src/think/route/Rule.php ( 26.95 KB )
  98. /yingpanguazai/ssd/ssd1/www/i.460.net.cn/vendor/topthink/framework/src/think/route/RuleItem.php ( 9.78 KB )
  99. /yingpanguazai/ssd/ssd1/www/i.460.net.cn/route/app.php ( 1.72 KB )
  100. /yingpanguazai/ssd/ssd1/www/i.460.net.cn/vendor/topthink/framework/src/think/facade/Route.php ( 4.70 KB )
  101. /yingpanguazai/ssd/ssd1/www/i.460.net.cn/vendor/topthink/framework/src/think/route/dispatch/Controller.php ( 4.74 KB )
  102. /yingpanguazai/ssd/ssd1/www/i.460.net.cn/vendor/topthink/framework/src/think/route/Dispatch.php ( 10.44 KB )
  103. /yingpanguazai/ssd/ssd1/www/i.460.net.cn/app/controller/Index.php ( 4.81 KB )
  104. /yingpanguazai/ssd/ssd1/www/i.460.net.cn/app/BaseController.php ( 2.05 KB )
  105. /yingpanguazai/ssd/ssd1/www/i.460.net.cn/vendor/topthink/think-orm/src/facade/Db.php ( 0.93 KB )
  106. /yingpanguazai/ssd/ssd1/www/i.460.net.cn/vendor/topthink/think-orm/src/db/connector/Mysql.php ( 5.44 KB )
  107. /yingpanguazai/ssd/ssd1/www/i.460.net.cn/vendor/topthink/think-orm/src/db/PDOConnection.php ( 52.47 KB )
  108. /yingpanguazai/ssd/ssd1/www/i.460.net.cn/vendor/topthink/think-orm/src/db/Connection.php ( 8.39 KB )
  109. /yingpanguazai/ssd/ssd1/www/i.460.net.cn/vendor/topthink/think-orm/src/db/ConnectionInterface.php ( 4.57 KB )
  110. /yingpanguazai/ssd/ssd1/www/i.460.net.cn/vendor/topthink/think-orm/src/db/builder/Mysql.php ( 16.58 KB )
  111. /yingpanguazai/ssd/ssd1/www/i.460.net.cn/vendor/topthink/think-orm/src/db/Builder.php ( 24.06 KB )
  112. /yingpanguazai/ssd/ssd1/www/i.460.net.cn/vendor/topthink/think-orm/src/db/BaseBuilder.php ( 27.50 KB )
  113. /yingpanguazai/ssd/ssd1/www/i.460.net.cn/vendor/topthink/think-orm/src/db/Query.php ( 15.71 KB )
  114. /yingpanguazai/ssd/ssd1/www/i.460.net.cn/vendor/topthink/think-orm/src/db/BaseQuery.php ( 45.13 KB )
  115. /yingpanguazai/ssd/ssd1/www/i.460.net.cn/vendor/topthink/think-orm/src/db/concern/TimeFieldQuery.php ( 7.43 KB )
  116. /yingpanguazai/ssd/ssd1/www/i.460.net.cn/vendor/topthink/think-orm/src/db/concern/AggregateQuery.php ( 3.26 KB )
  117. /yingpanguazai/ssd/ssd1/www/i.460.net.cn/vendor/topthink/think-orm/src/db/concern/ModelRelationQuery.php ( 20.07 KB )
  118. /yingpanguazai/ssd/ssd1/www/i.460.net.cn/vendor/topthink/think-orm/src/db/concern/ParamsBind.php ( 3.66 KB )
  119. /yingpanguazai/ssd/ssd1/www/i.460.net.cn/vendor/topthink/think-orm/src/db/concern/ResultOperation.php ( 7.01 KB )
  120. /yingpanguazai/ssd/ssd1/www/i.460.net.cn/vendor/topthink/think-orm/src/db/concern/WhereQuery.php ( 19.37 KB )
  121. /yingpanguazai/ssd/ssd1/www/i.460.net.cn/vendor/topthink/think-orm/src/db/concern/JoinAndViewQuery.php ( 7.11 KB )
  122. /yingpanguazai/ssd/ssd1/www/i.460.net.cn/vendor/topthink/think-orm/src/db/concern/TableFieldInfo.php ( 2.63 KB )
  123. /yingpanguazai/ssd/ssd1/www/i.460.net.cn/vendor/topthink/think-orm/src/db/concern/Transaction.php ( 2.77 KB )
  124. /yingpanguazai/ssd/ssd1/www/i.460.net.cn/vendor/topthink/framework/src/think/log/driver/File.php ( 5.96 KB )
  125. /yingpanguazai/ssd/ssd1/www/i.460.net.cn/vendor/topthink/framework/src/think/contract/LogHandlerInterface.php ( 0.86 KB )
  126. /yingpanguazai/ssd/ssd1/www/i.460.net.cn/vendor/topthink/framework/src/think/log/Channel.php ( 3.89 KB )
  127. /yingpanguazai/ssd/ssd1/www/i.460.net.cn/vendor/topthink/framework/src/think/event/LogRecord.php ( 1.02 KB )
  128. /yingpanguazai/ssd/ssd1/www/i.460.net.cn/vendor/topthink/think-helper/src/Collection.php ( 16.47 KB )
  129. /yingpanguazai/ssd/ssd1/www/i.460.net.cn/vendor/topthink/framework/src/think/facade/View.php ( 1.70 KB )
  130. /yingpanguazai/ssd/ssd1/www/i.460.net.cn/vendor/topthink/framework/src/think/View.php ( 4.39 KB )
  131. /yingpanguazai/ssd/ssd1/www/i.460.net.cn/vendor/topthink/framework/src/think/Response.php ( 8.81 KB )
  132. /yingpanguazai/ssd/ssd1/www/i.460.net.cn/vendor/topthink/framework/src/think/response/View.php ( 3.29 KB )
  133. /yingpanguazai/ssd/ssd1/www/i.460.net.cn/vendor/topthink/framework/src/think/Cookie.php ( 6.06 KB )
  134. /yingpanguazai/ssd/ssd1/www/i.460.net.cn/vendor/topthink/think-view/src/Think.php ( 8.38 KB )
  135. /yingpanguazai/ssd/ssd1/www/i.460.net.cn/vendor/topthink/framework/src/think/contract/TemplateHandlerInterface.php ( 1.60 KB )
  136. /yingpanguazai/ssd/ssd1/www/i.460.net.cn/vendor/topthink/think-template/src/Template.php ( 46.61 KB )
  137. /yingpanguazai/ssd/ssd1/www/i.460.net.cn/vendor/topthink/think-template/src/template/driver/File.php ( 2.41 KB )
  138. /yingpanguazai/ssd/ssd1/www/i.460.net.cn/vendor/topthink/think-template/src/template/contract/DriverInterface.php ( 0.86 KB )
  139. /yingpanguazai/ssd/ssd1/www/i.460.net.cn/runtime/temp/ea612fc1da910b74827694dd9af81119.php ( 11.98 KB )
  140. /yingpanguazai/ssd/ssd1/www/i.460.net.cn/vendor/topthink/think-trace/src/Html.php ( 4.42 KB )
  1. CONNECT:[ UseTime:0.000575s ] mysql:host=127.0.0.1;port=3306;dbname=i460;charset=utf8mb4
  2. SHOW FULL COLUMNS FROM `fenlei` [ RunTime:0.000564s ]
  3. SELECT * FROM `fenlei` WHERE `fid` = 0 [ RunTime:0.000275s ]
  4. SELECT * FROM `fenlei` WHERE `fid` = 63 [ RunTime:0.000250s ]
  5. SHOW FULL COLUMNS FROM `set` [ RunTime:0.000487s ]
  6. SELECT * FROM `set` [ RunTime:0.000195s ]
  7. SHOW FULL COLUMNS FROM `article` [ RunTime:0.000481s ]
  8. SELECT * FROM `article` WHERE `id` = 473359 LIMIT 1 [ RunTime:0.001912s ]
  9. UPDATE `article` SET `lasttime` = 1779072951 WHERE `id` = 473359 [ RunTime:0.006607s ]
  10. SELECT * FROM `fenlei` WHERE `id` = 64 LIMIT 1 [ RunTime:0.000404s ]
  11. SELECT * FROM `article` WHERE `id` < 473359 ORDER BY `id` DESC LIMIT 1 [ RunTime:0.000550s ]
  12. SELECT * FROM `article` WHERE `id` > 473359 ORDER BY `id` ASC LIMIT 1 [ RunTime:0.000638s ]
  13. SELECT * FROM `article` WHERE `id` < 473359 ORDER BY `id` DESC LIMIT 10 [ RunTime:0.001925s ]
  14. SELECT * FROM `article` WHERE `id` < 473359 ORDER BY `id` DESC LIMIT 10,10 [ RunTime:0.001256s ]
  15. SELECT * FROM `article` WHERE `id` < 473359 ORDER BY `id` DESC LIMIT 20,10 [ RunTime:0.002187s ]
0.089048s